Document Type : Research Paper

Author

Abstract

The current study was designed to Know the Potassium dichromate (chromium) effects of histological structure on ovaries and thyroid glands in adult female rats. Twenty-one adult female rats were divided into three groups. The first group (n=7) animals received distal water as the control group, the second group (n=7) animals received potassium dichromate dissolved in distal water at a dose (n= 8.5 mg\kg), and the third group (n=7) animals received potassium dichromate at a dose (n= 4.25 mg\kg) dissolved in distal water. Animals received chromium orally by gavage for 30 days. The animals were sacrificed at the last experiment and the ovaries and thyroid have been isolated for histological study. Results showed normal ovarian histological structure in the control group and normal collagen fibers surrounding the vascular tissues. The potassium dichromate-treated group showed cysts, hemorrhage, distortion of granulosa cells, and collagen fibers not appearing with high doses. Histological ovarian sections in the treated group at a low dose of chromium showed normal ovarian structure with few fibroblasts. Normal thyroid follicles appeared in the control group. Thyroid gland structure in the treatment group at high doses of chromium showed the epithelium follicles have hyperplasia with distortion of follicle cells and walls. The follicles in the low dose group of chromium showed damage to follicle cells, vacuolated and limited hyperplasia. Therefore, chromium directly or indirectly affects of ovaries and thyroid glands

Keywords

Article Title [العربیة]

Histological Effects of Potassium Dichromate on Ovaries and Thyroid Gland in Adult Female Rats

Abstract [العربیة]

صممت الدراسة الحالية لمعرفة تأثير ثنائي كرومات البوتاسيوم على التركيب النسيجي للمبايض والغدة الدرقية في اناث الجرذان البالغة. واحد وعشرون من اناث الجرذان البالغة قسمت الى ثلاث مجاميع. المجموعة الاولى (ن =7) حيوان جرعت ماء مقطر كمجموعة سيطرة والمجموعة الثانية (ن=7) جرعت الحيوانات ثنائي كرومات البوتاسيوم (ملغم\كغم 8.5) الذائب في الماء والمجموعة الثالثة (ن =7) جرعت ثنائي كرومات البوتاسيوم بجرعة (4.25 ملغم\كغم) الذائب في الماء المقطر. جرعت الحيوانات ثنائي كرومات البوتاسيوم فمويا بواسطة المجرعة لمدة (30) يوم. تم التضحية بالحيوانات في نهاية التجربة وعزلت المبايض والغدة الدرقية للدراسة النسيجية. بينت النتائج ان المبايض طبيعية في مجموعة السيطرة والياف كولاجينية تحيط نسيج الاوعية. اوضحت مجموعة ثنائي كرومات البوتاسيوم المعالجة اكياس ونزف وتحطم في الخلايا الحبيبية وعدم وجود الياف كولاجين في الجرعة العالية. المقاطع النسيجية للمبايض المعالجة بالجرعة المخفضة من الكروميوم بينت التركيب النسيجي الطبيعي للمبايض مع قليل من الخلايا اللمفية المولدة. التركيب النسيجي للغدة الدرقية في المجموعة المعالجة بالجرعة العالية من الكروميوم بينت فرط تنسج في طلائية الحويصلات مع تحطم في خلايا الحويصلات وجدرانها. الحويصلات بالجرعة المخفضة من الكروميوم ظهرت متحطمة الخلايا وفجوات مع قليل من فرط التنسج. لذلك الكروميوم يؤثر بصورة مباشرة او غير مباشرة على المبايض والغدة الدرقية.

Keywords [العربیة]

  • ثنائي كرومات البوتاسيوم
  • اناث الجرذان المختبرية
  • الدراسة النسيجية

Introduction

Chromium is widely distributed and used in many industries (1). Naturally, chromium is found in food and water (2) . Chromium has beneficial effects on public health, especially if used in small amounts in dietary intake; it increases metabolism rates (3 , 4). Increased exposure to chromium leads to decreased body weight and regulates insulin hormone (5) . As mentioned in a recent study, chromium is an important cause of enhancing obesity by decreasing fats and body weight (6) and effects on reproductive organs (1).

Studies have shown that chromium decreases cysts that occur with polycystic ovary syndrome (PCOS), and many compounds play a role in improving PCOS (7) . Chromium is one of the essential elements in the balance of insulin and glucose in the body. At the same time, one study has shown that the use of chromium supplements has beneficial effects in reducing body mass, high fasting insulin, and some sex hormones, thus reducing the cysts associated with PCOS (8) . There is a relationship between PCOS and insulin resistance (9). However, chromium-enhanced cysts reduce the insulin hormone in women with PCOS (10) . A previous study showed chromium led to distortions of ovarian follicles (11). Few studies mentioned chromium effects of thyroid gland and recorded that damaged of chromium effects of thyroid gland and recorded that damaged of affects the thyroid gland and damaged the thyroid histological structure (12) . Hormones released from the thyroid gland decrease when animals are treated with chromium (13).

Materials and Methods

The present study was carried out on 21 adult female rats divided into three groups, each 7 rats. Group one is a control group that received (1 ml) distilled water orally. The second was that the treated group received Potassium dichromate orally (8.5 mg\kg) for (1) month. The third group, also treated group, received potassium dichromate orally (4.25 mg\kg) for (1) month. Potassium dichromate was supplied by the Russian chemical company\ Russia. At the end of the experiment, the rats were anesthetized with (ketamine and Xylazine). The ovaries and thyroid gland were isolated and put in formaldehyde (10%) for histological study.

Results

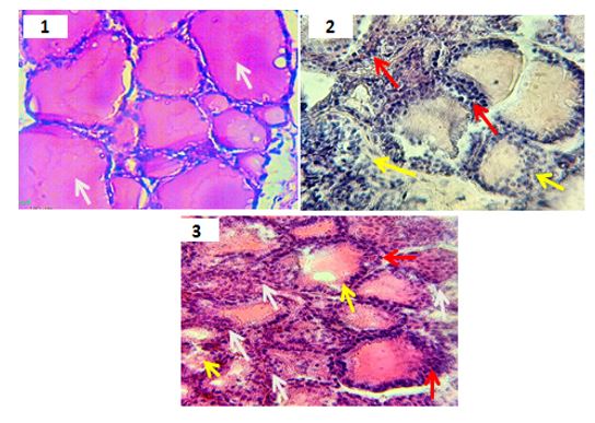
1-Histological examination of ovaries

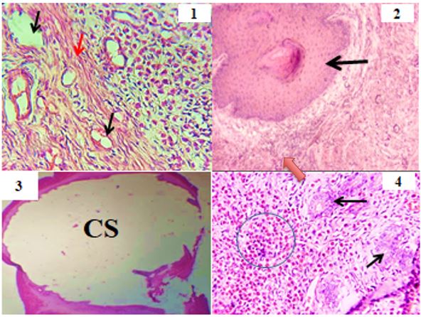
Examination of ovary sections in the control group showed normal ovarian histological structure and normal collagen fibers surrounding the vascular tissues Figure (1). Compared to the control group, the group that was given 8.5 mg/kg of potassium dichromate had cysts, bleeding, granulosa cells that were twisted, and collagen fibers that were not there (Figures 2-3). In contrast to the control and treated groups at a high dose, the histological ovarian sections in the potassium dichromate-treated group at a dose of 4.25 mg/kg revealed normal ovarian structure with primary follicles, some inflammatory cells, and no cysts (Figure 4).

Figure (A).

2-Histological examination of the thyroid gland

Normal thyroid follicles appeared in the control group. In the group that was given the high dose of chromium, the epithelium of the follicles had hyperplasia, and the cells and wall of the follicles were distorted (Figure 2). The follicles in the low-dose group of chromium exhibited damage to their cells, as well as vacuolated and progressive hyperplasia (Figure 3).

Figure (B).

Discussion

When sections of the ovaries from the control group were looked at, they showed normal ovarian histological structure and normal collagen fibers surrounding the vascular tissues. Compared to the control group, the group that was given high doses of potassium dichromate in the ovaries had cysts, bleeding, granulosa cells that were twisted, and collagen fibers that weren't there. Researchers studying potassium dichromate are finding significant changes in this element. This is because chromium is an environmental factor affecting reproduction and fertility. The degree of chromium poisoning and its duration determine its slow effects. These results agreed with (14) and showed that potassium dichromate at high doses led to a decrease in follicle cells. The collagen fibers were decreased in ovaries at high doses. The collagen fibers have protective and supporting effects of organs. According to , collagen fibers increase of ovaries, giving protection and supporting tissues. The cyst also appears on ovaries but is not considered PCOS according to (9) , who showed cysts with PCOS must be increased by more than five in number. The group that received a low dose of chromium treatment had more granulosa cells, fibroblast cells, and some inflammatory cells in their ovaries. Compared to the control group, this group showed no cysts, despite receiving a high dose of chromium treatment. Due to the high dose of potassium dichromate, the organs have changed. This is because the compound degrades tissue in the reproductive organs and makes it harder for them to make sex hormones. This result agreed with (17 , 18 , 19). They showed chromium toxicity effects on reproductive tissues in high doses.

The histological effects of potassium dichromate on the thyroid gland showed normal thyroid follicles in the control group. The high dose of chromium in thyroid tissue caused the epithelium of follicles to grow too big, causing the follicle cells and wall to become distorted. These results were in line with (13) , which showed that chromium damaged follicle cells in thyroid tissues from animals that were given it. It was thought that vacuolated and progressive hyperplasia of follicle cells in the thyroid follicles was normal at low doses of chromium but not at high doses. This result was in line with other studies (13 , 20).

Conclusions

The current study concluded that chromium has histological effects on the ovaries and thyroid glands at lower and higher doses.

Conflicts of interest

The authors declare that there is no conflict of interest.

Ethical Clearance

This work is approved by The Research Ethical Committee.

References

  1. Banu, S. K.; Stanley, J. A.; Lee, J.; Stephen, S. D.; Arosh, J. A.; Hoyer, P. B. and Burghardt, R. C. (2011). Hexavalent chromium-induced apoptosis of granulosa cells involves selective sub-cellular translocation of Bcl-2 members, ERK1/2 and p53. Toxicology and applied pharmacology;251(3):253-266. doi.org/10.1016/j.taap.2011.01.011.DOI
  2. McNeill, L. S.; McLean, J. E.; Parks, J. L. and Edwards, M. A. (2012). Hexavalent chromium review, part 2: Chemistry, occurrence, and treatment. Journal‐American Water Works Association; 104(7): E395-E405. https://doi.org/10.5942/jawwa.2012.104.0092.DOI
  3. Anderson, R. A. (1998). Effects of chromium on body composition and weight loss. Nutrition reviews.; 56(9): 266-70. doi.org/10.1111/j.1753-4887.1998.tb01763.x.DOI
  4. Samuel, J. B.; Stanley J. A.; Roopha D. P.; Vengatesh G.; Anbalagan J.; Banu S. K. and Aruldhas M., M. (2010). Lactational hexavalent chromium exposure-induced oxidative stress in rat uterus is associated with delayed puberty and impaired gonadotropin levels. Human and Experimental Toxicology; 30(2): 91-101. doi.org/10.1177/0960327110364.DOI
  5. Onakpoya I.; Posadzki P. and Ernst E. (2013). Chromium supplementation in overweight and obesity: a systematic review and meta‐analysis of randomized clinical trials. Obesity Reviews; (14): 496-507. https://doi.org/10.1111/obr.12026.DOI
  6. Heidari S. M.; Haghpanah J. F.; Akbarzadeh M. and Sohrabi Z. (2022). Effect of Chromium Supplementation on Body Weight and Body Fat: A Systematic Review of Randomized, Placebo-controlled Trials. International Journal of Nutrition Sciences; 7(3): 131-137. Doi.10.30476/ijns.2022.96839.1201.DOI
  7. Kafali H.; Iriadam M.; Ozardali I. and Demir N. (2004). Letrozole-induced polycystic ovaries in the rat: a new model for cystic ovarian disease. Archives of Medical Research; 35(2): 8-103. doi.org/10.1016/j.arcmed.2003.10.005.DOI
  8. Amr, N., and Abdel-Rahim, H. E. (2015). The effect of chromium supplementation on polycystic ovary syndrome in adolescents. Journal of pediatric and adolescent gynecology; 28(2): 114-118. doi.org/10.1016/j.jpag.2014.05.005.DOI
  9. Khudier, A. M.; Al-derawi, K. H. and Al-saad, L. A. (2024). Histochemical Effect of Capsaicin Alone or in Combination with The Metformin on Ovaries Structure After Induced a Polycystic Ovary Syndrome by Letrozole in Rats. Basrah Journal of Veterinary Research; 23(1): 56-66. https://doi.org/10.23975/bjvr.2024.182902.DOI
  10. Lucidi, R. S.; Thyer, A. C.; Easton, C. A.; Holden, A. E.; Schenken, R. S., and Brzyski, R. G. (2005). Effect of chromium supplementation on insulin resistance and ovarian and menstrual cyclicity in women with polycystic ovary syndrome. Fertility and sterility; 84(6): 1755-1757. doi.org/10.1016/j.fertnstert.2005.06.028.DOI
  11. Murthy, R. C.; Junaid, M. and Saxena, D. K. (1996). Ovarian dysfunction in mice following chromium (VI) exposure. Toxicology letters; 89(2): 147-154. doi.org/10.1016/S0378-4274(96)03803-9.DOI
  12. Abdul-Aziz, A. and Kadhim, K. K. (2015). Efficacy of the cruciferous vegetable on the thyroid gland and the gonads in rabbits. Advances in Animal and Veterinary Sciences; 3(3): 138. doi.org/10.14737/journal.aavs/2015/3.3.183.191.DOI
  13. ElBakry, R. H. and Tawfik, S. M. (2014). Histological study of the effect of potassium dichromate on the thyroid follicular cells of adult male albino rat and the possible protective role of ascorbic acid (vitamin C). Journal of Microscopy and Ultrastructure; 2(3): 137-150. DOI: 10.1016/j.jmau.2014.04.003.DOI
  14. Dohan, K. H. and Hadi, A. H. A. (2019). Effects of Potassium Dichromate on Reproduction and Fertility in Albino Female Mice. International Journal of PharmTech Research; 9(8): 205-212.
  15. Khudier, A.; Al-Derawi, K. and Al-Saad, L. (2024). The Effect of Low Dose Capsaicin on Ovarian Histological Structure in Induced Polycystic Ovary Syndrome in Adult Rats. Egyptian Journal of Histology; https://doi.org/10.21608/ejh.2024.264149.2005.DOI
  16. Khudier, A. M.; Rahi, E. and Alhasson, F. (2024). The Histological and Hormonal Effects of Irisin on Polycystic Ovary Syndrome Induced by Letrozole in Adult Female Rats. Egyptian Journal of Histology; DOI: 10.21608/ejh.2024.270183.2022.DOI
  17. Mary Momo C. M.; Ferdinand N.; Omer Bebe N. K.; Alexane Marquise M. N.; Augustave K.; Bertin Narcisse V.; Herve T. and Joseph T. (2019). Oxidative Effects of Potassium Dichromate on Biochemical, Hematological Characteristics, and Hormonal Levels in Rabbit Doe (Oryctolagus cuniculus). Veterinary Sciences; 6(1): 1-30. https://doi.org/10.3390/vetsci6010030.DOI
  18. Zhen, L.; Wang, L.; Fu, J.; Li, Y.; Zhao, N.; and Li, X. (2016). Hexavalent chromium affects sperm motility by influencing protein tyrosine phosphorylation in the midpiece of boar spermatozoa. Reproductive toxicology; (59): 66-79.‏ doi.org/10.1016/j.reprotox.2015.11.001..DOI
  19. Wuri, L.; Arosh J. A.; Wu J. Z. and Banu S. K. (2022). Exposure to hexavalent chromium causes infertility by disrupting cytoskeletal machinery and mitochondrial function of the metaphase II oocytes in superovulated rats. Toxicology Reports; 3(9): 219-229. doi.org/10.1016/j.toxrep.2022.02.002.DOI
  20. Bagchi, D.; Stohs, S. J.; Downs, B. W.; Bagchi, M. and Preuss, H. G. (2002). Cytotoxicity and oxidative mechanisms of different forms of chromium. Toxicology; 180(1):5-22. doi.org/10.1016/S0300-483X(02)00378-5.DOI