Document Type : Research Paper
Authors
- Shangaberry R. Aziz 1
- Questan Ali Ameen 2
- Nasrin H. Aziz 3
- Ahmed Sami Shaker 4
- Mohammed S. Mohammed 5
- Adel J. Hussen 6
1 Animal production department, Directorate of agricultural research, Slemani, Iraq
2 Department of Animal Science, College of Agricultural Sciences, University of Sulaimani, Iraq
3 Animal Science department, College of Agricultural Engineering Sciences, University of Sulaimani, Iraq.
4 Medical labratory technology, Al-Qalam University college
5 Animal production department, directorate of agricultural research, Slemani, Iraq
6 Department of Anatomy and Histology, College of Veterinary Medicine, University of Basrah, Basrah, Iraq.
Abstract
The present study emphasizes the importance of in Ovo feeding strategies, particularly the supplementation of fertilized eggs with amino acids such as L-arginine to enhance the Bursa of Fabricius development. Targeted nutritional interventions during embryogenesis offer a promising approach to improving the overall health, productivity, and market value of poultry. The experiment was done in the college of agriculture - University of Sulaimani to study the effects of arginine on the bursal tissue of commercial and local Kurdish chickens. One hundred fertile eggs involved from the Ross-308 broiler breeder strain and one hundred fertile eggs from a local breed. The in ova inoculation treated included a control group without inoculation and three groups inoculation with 1%, 2%, and 3% Arginine solutions. The inoculations were carried out twice, on the 14th and 18th days of incubation. Four chicks at one-day age from each Treated group were euthanized, and their bursa of Fabricius was preserved for histological slide preparation. The study found that bursal follicular proliferation in Kurdish breeds showed significant improvements in lymphoid follicles and number compared to commercial breeds. The scoring system for bursal follicular proliferation was higher in the G4 (3% Arginine) Treated group. However, bursal sections from Fabricius bursa showed significant aggravation in follicle number, with G3 and G4 Treated groups scoring higher. Eggs inoculated with arginine showed significant follicular growth in both breeds.
Keywords
Article Title [العربیة]
تأثير حقن بيض الدجاج المحلي والتجاري بالحامض الاميني الارجينين على تطور غدة فابريشيا
Author [العربیة]
- احمد شاكر 4
4 قسم تقنيات المختبرات الطبية، كلية القلم الجامعة، كركوك، العراق
Keywords [العربیة]
- الارجينين
- الدجاج
- الحقن
- غدة فابريشيا
Introduction
Due to the selection of Gallus gallus chickens for meat production, inbred strains with accelerated growth performance particularly with respect to improved muscle growth, which primarily takes place during embryogenesis have been produced (1 , 2) . The yolk, which mostly consists of lipids and has minimal amounts of carbohydrates, is where most nutrients and energy are obtained throughout embryogenesis (3) . Consequently, gluconeogenesis from essential amino acids is necessary for the health of the embryo and post-hatch chicken (4 , 5) . Researchers have discovered that adding amino acids to fertilized broiler eggs a process known as "ova feeding" may provide poultry producers a different way to improve the hatchability and muscular growth weight of newly hatched chicks .
Bioactive compounds, such as polyphenols, bioactive amino acids, and prebiotics, when nourished and supplemented, can improve immune function, reduce osteoporosis, and lower the risk of heart disease (8) . Likewise, prior research has shown that the application of amino acids, carbohydrates, and vitamins to eggs via in ova feeding can enhance the rate of hatching, body weight, rate of survival, growth performance, and size for marketing (9) . Furthermore, hatchability might be impacted by the in Ova feeding place and duration, as shown by a previous study (10) .
L-arginine is a semi-essential amino acid in poultry diets. Where the bird cannot be configured in the body, unlike the mammals (11) . It is abundantly available in soybean plants and is the main source for preparing birds' diets. Several researchers used the L-arginine amino acid to study their effect on egg productivity (12) , egg quality traits (13) , Carcass traits (14) , and body weight (15) . The aim of the current study is to evaluate the effect of inoculation of the Arginine amino acid into the egg sac with different doses on the bursa of Fabricius in both commercial and local chicken.
Materials and Methods
The experimental was done at the University of Sulaimani - College of Agricultural Engineering Science - department of Animal Science from (12/5 to 20/7/2024), A total of 100 fertile eggs from the Ross-308 broiler breeder strain were procured from a commercial company, while an additional 100 fertile eggs from a local breed were sourced from the Kurdish local chicken from the directorate of agricultural research of Selmani. The eggs were randomly assigned to four distinct Treated groups, each Treated with three replicates with 4 eggs per replicate. The Treated groups included a negative control (no inoculation). On the 7th day of incubation, the eggs were candled, and any infertile eggs or those containing dead embryos were excluded from the study.
The in ova inoculation Treated included a control group with no inoculation and three groups inoculation with 1%, 2%, and 3% Arginine solutions, prepared by dissolving 1g, 2g, and 3g of Arginine in 100 ml of distilled water, respectively. The inoculations were carried out twice, on the 14th and 18th days of incubation inside the egg sac. Post-inoculation, the inoculation sites were sealed with adhesive tape, and incubation was resumed. Following hatching, the chicks were weighed using a precision balance with 0.1 g accuracy. Subsequently, four chicks from each Treated group were euthanized, and their bursa of Fabricius was excised, weighed using a balance with 0.01 g precision, and preserved in 40% formalin for histological slide preparation.
Histological technique:
The histological protocol was performed at the end point of the experiment; chicks were sacrificed and then euthanized in a humane practice. Consecutively, after scarification collecting tissue samples for histological preparation started necropsy findings. Briefly, samples from bursal tissue were collected and fixed into tissue cassettes then dipped into a 10% buffered formaldehyde solution for about 48 hours. Thereafter, sections were dehydrated by passing through a series of ascending ethanol alcohol, followed by three repetitive steps of xylene clearance. Next, the processed sections were infiltrated and embedded in melted paraffin blocks using an automated wax embedder at (60 -70ᵒC). Paraffinized blocked tissues were sectioned to 5 µm, after that, tissue sections were placed on glass slides and dried using a hot plate holder. Later on, tissue sections were deparaffinized and cleaned with xylene solution for 30 minutes then dried for 5 minutes. Finally, tissue sections were stained with Harris's hematoxylin and eosin solution, cleaned with xylene and the cover slipped (16 , 17) .
Semi quantitative lesion scoring
Lesion scoring was estimated semi-quantitatively via image analyzer software (AmScope, 3.7) using a microscope eye-piece camera (MD500, 2019), and tissue samples were analyzed under the light microscope (NOVEL XSZ-N107T, China). Within the bursal tissue follicular proliferation and hyperplasia were estimated and measured in percentage of calculated cell numbers from randomly selected different fields, whereas the number of growing follicles was counted in randomly chosen four fields in each section then the mean average was calculated statistically in percentage. On the other hand, infiltration of inflammatory cells as well as vascular congestions was statistically not significant to measure. The mean percentage of all calculated values were expressed as following score system (score 0-25% as grade one plus; score 25-50% as grade two pluses; score 50-75% as grade three pluses; score 75-100% as grade four pluses) (18 , 19) .
Results
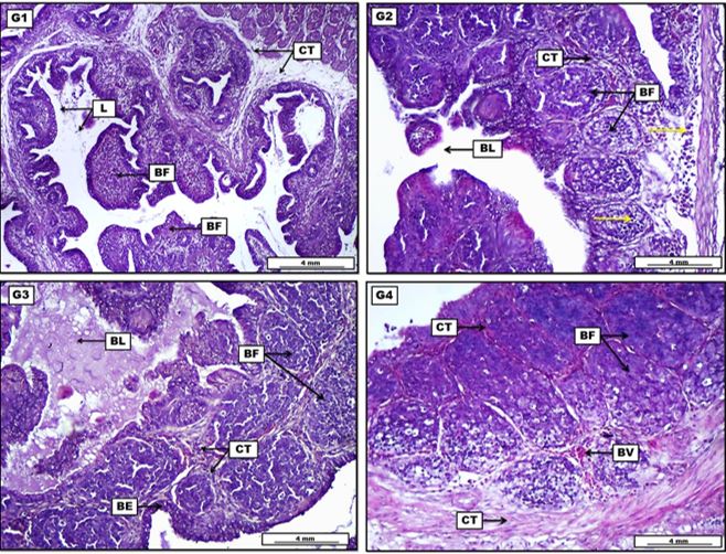
Local chicks: At first, figure 1 demonstrate microscopically examined Bursal sections from different Treated groups after day 14 of inoculation. The control negative group, which received no treatment, showed typical histological architecture of standard juvenile Bursal tissue, which continued, unchanged and exhibited normal arrangement of few growing Bursal follicles. In contrast, Bursal sections supplemented with Arginine at different doses reveal the presence of significant follicular proliferation evident by a considerable degree of cellular hyperplasia. On the other hand, Bursal sections from eggs inoculated with Arginine at day 18 exhibit even more significant follicular proliferation together with cellular hyperplasia in a dose dependent manner since the morphological regulating were more significant P<0.05 in G3 and G4 2% and 3% Arginine respectively, apparent by the uprising of the scoring system as shown in table 1. Generally, all Treated groups with Arginine in Kurdish breed demonstrate significant Bursal proliferation with notable increase in the number of the follicles.
Figure 1.
Figure 2.
| Kurdish Breed 14 Days | |||||
|---|---|---|---|---|---|
| Experimental Groups N=5 | Follicular Proliferation* (Mean %)** | Follicular Hyperplasia* (Mean %)** | Number of Follicles * (Mean %)** | Scoring System (0 -100%) | Grading System (+ - ++++) |
| (G1) CNG† | 21.37 % D# | 24.81 % D | 18.64 % C | 0-25 % | + |
| (G2) AG (ARG) 1% | 34.61 % C | 39.48 % C | 27.31 % B | 25-50 % | ++ |
| (G3) AG (ARG) 2% | 59.34 % B | 65.79 % B | 58.17 % A | 50-75 % | +++ |
| (G4) AG (ARG) 3% | 64.71 % A | 69.04 % A | 59.45 % A | 50-75 % | +++ |
| Kurdish breed 18 Days | |||||
| (G1) CNG† | 22.19 % D# | 25.36 % D | 22.16 % D | 0-25 % | + |
| (G2) AG (ARG) 1% | 38.27 % C | 43.89 % C | 32.67 % C | 25-50 % | ++ |
| (G3) AG (ARG) 2% | 65.18 % B | 72.06 % B | 61.85 % B | 50-75 % | +++ |
| (G4) AG (ARG) 3% | 76.14 % A | 79.23 % A | 74.96 % A | 75-100 % | ++++ |
| Notes: *Bursal follicular hyperplasia, follicular proliferation and the number of the growing follicles were estimated in (%) of cell and follicular numbers. **Each value represents mean percentage (n=5). #Statistical comparison among groups: Mean values with different capital letters have significant differences at (P < 0.05). †G1: Control negative group (CNG), Distilled water; G2: Arginine group (AG 1%); G3: Arginine group (AG 2%); G4: Arginine group (AG 3%). | |||||
Commercial Breed; Initially, table 2 illustrate in details the scoring system of Bursal follicular proliferation, to begin with the sections taken at day 14 after inoculation, most of the histological changes including follicular proliferation and hyperplasia together with the number of growing follicles were significantly increased in all Treated groups in compare with control one, however the scoring was much higher in G4 (3% Arginine) in compare to other Treated groups as shown in figure 3. On the other hand, sections from bursa of fabricius taken at day 18, reveal significant aggravation in the number of follicles manifested by increased in follicular proliferation and enlargement of their size, the result was much scored in G3 (2% Arginine) and G4 (3% Arginine) respectively in a dose dependent manner in compare to Treated group G2 (1% Arginine). In conclusion, Bursal sections in Kurdish breed in compare to commercial breed show more significant improvement in the lymphoid follicles as increase in follicular proliferation and number. Furthermore, egg inoculated with Arginine at doses 2% and 3% demonstrate much significant follicular growth in both breeds, yet it was much scored and more significant in Kurdish breed than in commercial one.
| Commercial Breed 14 Days | |||||
|---|---|---|---|---|---|
| Experimental Groups N=5 | Follicular Proliferation* (Mean %)** | Follicular Hyperplasia*(Mean %)** | Number of Follicles * (Mean %)** | Scoring System (0 -100%) | Grading System (+ - ++++) |
| (G1) CNG† | 17.34 % D# | 21.52 % D | 15.87 % D | 0-25 % | + |
| (G2) AG (ARG) 1% | 29.36 % C | 34.11 % C | 24.62 % C | 25-50 % | ++ |
| (G3) AG (ARG) 2% | 35.77 % B | 44.56 % B | 32.61 % B | 25-50 % | ++ |
| (G4) AG (ARG) 3% | 57.32 % A | 64.41 % A | 54.36 % A | 50-75 % | +++ |
| Commercial breed 18 Days | |||||
| (G1) CNG† | 21.44 % D# | 24.98 % D | 19.76 % D | 0-25 % | + |
| (G2) AG (ARG) 1% | 35.41 % C | 38.62 % C | 31.52 % C | 25-50 % | ++ |
| (G3) AG (ARG) 2% | 56.27 % B | 61.74 % B | 55.38 % B | 50-75 % | +++ |
| (G4) AG (ARG) 3% | 65.81 % A | 71.46 % A | 62.84 % A | 50-75 % | +++ |
| Notes: *Bursal follicular hyperplasia, follicular proliferation and the number of the growing follicles were estimated in (%) of cell and follicular numbers. **Each value represents mean percentage (n=5). #Statistical comparison among groups: Mean values with different capital letters have significant differences at (P < 0.05). †G1: Control negative group (CNG), Distilled water; G2: Arginine group (AG 1%); G3: Arginine group (AG 2%); G4: Arginine group (AG 3%). | |||||
Figure 3.
Figure 4.
Discussion
Evaluating l-arginine as an immunomodulator of the Bursa of Fabricius that can promote growth increase in pre-hatched chicks was the major goal of the study. As described by (20) , the peak value of the Bursa of Fabricius at the embryonic day 17, which the research attributed to intense growth of the organ, corresponds to the evaluation phase of growth development of the Bursa of Fabricius in chicken, the same finding was observed by (21) who found in his study the Bursa of Fabricius weight was at the peak in the embryonic age 18 days. That's why we can notice the studied traits of Bursa of Fabricius in 14 days differ slightly from the Bursa of Fabricius traits in 18 days. Moreover (22) observed in his study significant high proliferative activity at the embryonic day 17. Injecting the egg with 3% of L-arginine increases Follicular proliferation, follicular hyperphasia, and the number of follicles significantly in both the local chicken and the commercial breed. (23) found in his study deficiency in L-arginine reduces the immune organs weight (Thymus, spleen, and Bursa of Fabricius). Creatine has a greater ability to spare glycine and arginine in chicks, while creatinine and glycocyamine have less of an effect. Creatine levels and Arginine consumption are correlated, and when Arginine is inadequate, there may be a greater need for glysine (24) . It was formerly believed that the advantage of combining glycine and Arginine stemmed from glycine's function in excreting excess nitrogen as uric acid. (25) discovered that supplementing chicks fed Arginine -limiting diets with glysine, α-aminoisobutyric acid, and threonine reduced excretion, leading to an increase in body weight gain and feed utilization efficiency. It was also shown that α-aminoinoisobutyric acid significantly decreased urea and inhibited renal arginase activity. Supplementing with metyl-arginine can mitigate growth depression in hens caused by an excess of dietary Arginine. It is confirmed that there is a link between Arginine and Methionine, and one of the mechanisms involved in creatine biosynthesis. Met acts as a donor of methyl for the synthesis of creatine. In protein-free chickens, supplemented Methionine and Arginine have a nitrogen-sparing effect (26) . Accompanying mitochondria to myosin filaments to transfer high-energy phosphate and serve as a store for ATP regeneration, creatine, a precursor to creatine phosphate, is essential for proper muscle activity (27) . It can be argued that high- Arginine meals promote creatine production, while factors affecting creatine synthesis or excretion decrease the availability of Arginine for protein synthesis and growth (28) .
Conclusion
In conclusion, our result indicates the bursal sections from Fabricius bursa showed significant aggravation in follicle number, with G3 and G4 Treated groups scoring higher. Eggs inoculated with arginine showed significant follicular growth in both breeds.
Conflicts of interest
The authors declare that there is no conflict of interest.
Ethical Clearance
This work is approved by The Research Ethical Committee
References
- Berri, C., Wacrenier, N., Millet, N., Le Bihan-Duval, E. (2001). Effect of selection for improved body composition on muscle and meat characteristics of broilers from experimental and commercial lines. Poult. Sci. 80, 833–838.DOI: http://www.doi.org/10.1093/ps/80.7.833.DOI
- Sobolewska, A., Elminowska-Wenda, G., Bogucka, J., Szpinda, M., Walasik, K., Bednarczyk, M., Paruszewska-Achtel, M. (2011). Myogenesis–possibilities of its stimulation in chickens. Folia Biol. 59, 85–90. DOI:http://www.doi.org/10.3409/fb59_3-4.85-90.DOI
- Dos Santos, T.T., Corzo, A., Kidd, M.T., McDaniel, C.D., Torres Filho, R.A., and Araujo, L.F. (2010). Influence of in ovo inoculation with various nutrients and egg size on broiler performance. J. Appl. Poult. Res. 19, 1–12. DOI: https://doi.org/10.3382/japr.2009-00038.DOI
- Dransfield, E., and Sosnicki, A.A. (1999). Relationship between muscle growth and poultry meat quality. Poult. Sci. 78, 743–746.DOI:http://www.doi.org/10.1093/ps/78.5.743.DOI
- Uni, Z., Ferket, P.R., Tako, E., and Kedar, O. (2005). In ovo feeding improves energy status of late-term chicken embryos. Poult. Sci. 84, 764–770. DOI: http://www.doi.org/10.1093/ps/84.5.764.DOI
- Ohta, Y., Kidd, M.T., and Ishibashi, T. (2001). Embryo growth and amino acid concentration profiles of broiler breeder eggs, embryos, and chicks after in ovo administration of amino acids. Poult. Sci. 80, 1430–1436. DOI: http://www.doi.org/10.1093/ps/80.10.1430.DOI
- Bhanja, S.K., and Mandal, A.B. (2005). Effect of in ovo inoculation of critical amino acids on pre- and post-hatch growth, immunocompetence and development of digestive organs in broiler chickens. Asian-Australas J. Anim. Sci. 18, 524–531. DOI: https://doi.org/10.5713/ajas.2005.524.DOI
- Chalamaiah, M., Yu, W., & Wu, J. (2018). Immunomodulatory and anticancer protein hydrolysates (peptides) from food proteins: A review. Food Chem. 245, 205–222. DOI: http://www.doi.org/10.1016/j.foodchem.2017.10.087.DOI
- Kadam, M.M., Barekatain, M.R., Bhanja, S.K., & Iji, P.A. (2013). Prospects of in ovo feeding and nutrient supplementation for poultry: The science and commercial applications—A review. J. Sci. Food Agric. 93, 3654–3661. DOI: http://www.doi.org/10.1002/jsfa.6301.DOI
- Ohta, Y., & Kidd, M.T. (2001). Optimum site for in ovo amino acid inoculation in broiler breeder eggs. Poult. Sci. 80, 1425–1429. DOI: http://www.doi.org/10.1093/ps/80.10.1425.DOI
- Fouad, A. M., El-senousy, H. K., Yang, X. J., & Yao, J. H. (2012). Role of dietary L-arginine in poultry production. International journal of poultry science , 11 (11), 718-729. DOI: http://www.doi.org/10.3923/ijps.2012.718.729.DOI
- Shaker, A. S., Mohammed, A. K., & Razuki, W. M. (2023). Estimation of genetic parameters for egg production traits in Japanese quail that selected for immune responses and fed different level of dietary L-arginine. Kirkuk university journal for agricultural sciences, 14(1), 73-81. DOI: http://www.doi.org/10.58928/ku23.14106.DOI
- Yang, H., Ju, X., Wang, Z., Yang, Z., Lu, J., & Wang, W. (2016). Effects of Arginine Supplementation on Organ Development, Egg Quality, Serum Biochemical parameters, and Immune Status of Laying Hens. Revista Brasileira de Ciência Avícola. 18. 181-186. DOI: https://doi.org/10.1590/1516-635x1801181-186.DOI
- Al-Tamimy, S. M., Amen, S. H., Shaker, A. S., & Ameen, Q. A. (2025). The Effect of Adding Different Levels of L-arginine on the Carcass Traits of Japanese Quail. Egyptian Journal of Veterinary Sciences, 56(1), 235-239. DOI: http://www.doi.org/10.21608/ejvs.2024.270710.1855.DOI
- Shaker, A. S., Mohammed, A. K., Razuki, W. M., Hermiz, H. N., Ameen, Q. A., & Al-Obaidi, R. M. (2024). Estimation of genetic parameters for body weight in different periods of Japanese quail that selected for immune responses and fed different levels of dietary L-arginine. Dijlah Journal of Agricultural Sciences, 2(2), 1-7.
- Bancroft, J. D., & Gamble, M. (2008). Theory and Practice of Histological Techniques (6th ed.). Churchill Livingstone/Elsevier. DOI: http://www.doi.org/10.1097/NEN.0b013e31817e2933.DOI
- Luna, L. G. (1968). Manual of Histologic Staining Methods of the Armed Forces Institute of Pathology (3rd ed.). McGraw-Hill.
- Haines, D. M., & Chelack, B. J. (1991). Technical considerations for developing immunohistochemistry procedures on formalin-fixed paraffin-embedded tissues for diagnostic pathology. Journal of Veterinary Diagnostic Investigation, 3(1), 101–112. https://doi.org/10.1177/104063879100300120.DOI
- Singh, P., Sinha, D. K., Jaiswal, R. K., & Sharma, B. (2019). Histopathological and immunohistochemical studies on bursal lesions in infectious bursal disease in chickens. Veterinary World, 12(1), 156–161.https://doi.org/10.14202/vetworld.2019.156-161.DOI
- Udoumoh, A. F., Nwaogu, I. C., Igwebuike, U. M., & Obidike, I. R. (2022). Pre-hatch and post-hatch development of the bursa of Fabricius in broiler chicken: a morphological study. Veterinary research forum: an international quarterly journal, 13(3), 301–308. DOI: http://www.doi.org/10.30466/vrf.2020.127741.2953.DOI
- Șereș, M., Tîrziu, E., Nichita, I., Cumpănășoiu, C., Cumpănășoiu, B., Bodea, S., & Brezovan, D. (2012). Histological and morphometrical survey of the bursa of Fabricius development in Cobb 500 embryos. LUCRĂRI ŞTIINŢIFICE MEDICINĂ VETERINARĂ. XLV(1).
- Ko, K.H., Lee, I.K., Kim, G., Gu., M.J., Kim., H.Y., Park., B. Ch., Park., T. S., Han., S. H., & Yun., Ch. H., (2018). Changes in bursal B cells in chicken during embryonic development and early life after hatching. Sci Rep 8, 16905. DOI: https://doi.org/10.1038/s41598-018-34897-4.DOI
- de Jonge, W. J., Kwikkers, K. L., te Velde, A. A., van Deventer, S. J., Nolte, M. A., Mebius, R. E., Ruijter, J. M., Lamers, M. C., & Lamers, W. H. (2002). Arginine deficiency affects early B cell maturation and lymphoid organ development in transgenic mice. The Journal of clinical investigation, 110(10), 1539–1548. DOI: http://www.doi.org/10.1172/JCI16143.DOI
- da Silva, R. P., Nissim, I., Brosnan, M. E., & Brosnan, J. T. (2009). Creatine synthesis: hepatic metabolism of guanidinoacetate and creatine in the rat in vitro and in vivo. American journal of physiology. Endocrinology and metabolism, 296(2), E256–E261. DOI: http://www.doi.org/10.1152/ajpendo.90547.2008.DOI
- Muramatsu, T., & Okumura, J. I. (1979). Effect of dietary methionine and arginine on uric acid excretion of cocks fed a protein-free diet. The Journal of nutrition, 109(6), 1057–1062. DOI: http://www.doi.org/10.1093/jn/109.6.1057.DOI
- Fathima, S., Al Hakeem, W. G., Selvaraj, R. K., & Shanmugasundaram, R. (2024). Beyond protein synthesis: the emerging role of arginine in poultry nutrition and host-microbe interactions. Frontiers in physiology, 14, 1326809. DOI: https://doi.org/10.3389/fphys.2023.1326809.DOI
- Perry, C. G., Kane, D. A., Herbst, E. A., Mukai, K., Lark, D. S., Wright, D. C., Heigenhauser, G. J., Neufer, P. D., Spriet, L. L., & Holloway, G. P. (2012). Mitochondrial creatine kinase activity and phosphate shuttling are acutely regulated by exercise in human skeletal muscle. The Journal of physiology, 590(21), 5475–5486. DOI: http://www.doi.org/10.1113/jphysiol.2012.234682.DOI
- Martí I Líndez, A. A., & Reith, W. (2021). Arginine-dependent immune responses. Cellular and molecular life sciences: CMLS, 78(13), 5303–5324. DOI: http://www.doi.org/10.1007/s00018-021-03828-4.DOI