Document Type : Research Paper

Author

Veterinary Medicine College , Diyala University, Iraq

Abstract

The present study aimed to identify the skin features of the local dog. After anesthesia, five adult dogs took the skin samples, and the wounds were sutured that form after collecting the sample and the samples were fixated with 10% formalin and Bouin's solution.(special stain )
in the present study, the skin consists of two layers epidermis and dermis, the epidermis is composed of epithelial cell layers comprised of four different types of cells of various studied regions. while the dermis was composed of two layers that embedded the hair follicles, sebaceous glands, and a few numbers of sweet and sebaceous glands associated with hair follicles. In conclusion, The skin is a large organ covering all body joints, underlying the muscles and bones. It is characterized by a few sebaceous and sweat glands.

Keywords

Article Title [العربیة]

دراسة نسجية شكلية ونسيجية كيميائية لجلد الكلب المحلي .

Author [العربیة]

  • رباب عبد الامير ناصر

كلية الطب البيطري جامعة ديالى

Abstract [العربیة]

هدفت الدراسة الحالية إلى التعرف على ملامح الجلد للكلب المحلي، فبعد التخدير تم أخذ عينات الجلد من خمسة كلاب بالغة، وتم خياطة الجروح التي تشكلت بعد جمع العينة وتم تثبيت العينات بالفورمالين 10% ومحلول بوين (صبغة خاصة)
في الدراسة الحالية يتكون الجلد من طبقتين البشرة والأدمة، تتكون البشرة من طبقات من الخلايا الظهارية تتكون من أربعة أنواع مختلفة من الخلايا من مناطق مختلفة مدروسة، بينما تتكون الأدمة من طبقتين تحتويان على بصيلات الشعر والغدد الدهنية وعدد قليل من الغدد الدهنية والحلوة المرتبطة ببصيلات الشعر. وفي الختام، فإن الجلد هو عضو كبير يغطي جميع مفاصل الجسم، ويقع تحت العضلات والعظام، ويتميز بوجود عدد قليل من الغدد الدهنية والعرقية.

Keywords [العربیة]

  • .نسجي
  • جلد
  • الكلب العراقي

Introduction

The present study aims to add more information on the features of the skin of dogs that are different from other species of animals because the skin in dogs may has special structures, and the thickness of the skin is varying in different areas. ( 1 , 2 ). According to the functional status, the skin undergoes an important adaptation and modification. It protects the body against physical, chemical, and biological agents and irradiations; secretes sweat and sebum; acts as a sensory organ; aids in temperature regulation; elaborates vitamin D, so vital for phosphorus and calcium metabolism; which actS as a reservoir for essential substances for the vitality of the body, namely water, salts, fats and carbohydrates ( 3 , 4 ). Histologically the skin in dogs similar to most animals consists of three layers; epidermis, dermis, and hypodermis ( 5 , 2 ). Specialized skin pouches are present in sheep, cats, and dogs. The function of the skin is to cover the body and it is the largest organ of the body in animals ( 6 ). The skin is multilayered and it gets modified depending on the species body region and habitat. The skin consists of two main layers ( 7 ). In cows and buffaloes the skin histologically was similar but the thickness of the epidermis was different in various regions where there is a heavy protective coat of hair ( 8 ). The epidermis layer is devoid of blood supply ( 9 ). The thickness of the epidermis in the camel is the height of the lip, perineal, and thigh. In the thin skin epithelium, the epidermis is thin and the outermost layer consists of keratinized stratified squamous epithelium lacking the blood vessels that include (basal, spinousum, granulosum, corneum, and stratum lucidum ( 10 ). The stratum lucidum is more apparent in the thick (non-hairy) skin ( 11 , 12 ), denied the presence of stratum lucidum in cattle and buffaloes ( 8 ) .Stratum lucidum is developed in the digital pads, claws, and hooves .The stratum lucidum is also found in the lip and muzzle of sheep ( 13 ) . The dermal epidermal junction on which lies the stratum basale and attached to it by the hemidesmosomes ( 14 ) was loose connective tissue under the epidermis rich in fibers (collagen and elastic) and contains the hair follicles associated with sebaceous glands, containing sebocytes rich in lipids. The Smooth muscle cell with the hair erector muscle is related to the hair follicle in the epidermis. ( 15 ). The thickness of the dermis varies according to the region of the body and reaches its maximum of 4 mm on the back ( 16 ). The dermis was rich with blood vessels. The blood vessels receive the blood from the large subcutaneous arteries that ramify and supply the different parts of the dermis with blood, some of this ramification ends with a plexus called capillary units that supply the cutaneous glands and hair follicles with blood ( 17 ). The hair follicles, oil glands, sweat glands, and claws are the skin appendages these structures grow out of the epidermis and dermis ( 18 ). In Buffalo, the sweat glands comprised a distinct straight duct and the coiled secretory portions. The secretory part was made up of glandular tubules which consist myoepithelium, and basement membrane. ( 19 ), in camel ( 10 ). Apocrine sweat glands in domestic animals are located throughout most of the skin. They are simple saccular tubular or coiled glands that have secretory parts which that lie within the dermis and may extend into the superficial part of the hypodermis ( 19 ).

Materials and methods

Sample Collection

The specimens are collected from the different areas of the body (neck, dorsal, and ventral surfaces) in healthy adult dogs (Iraq local dogs, from areas outside Baqubah city in Diyala Governorate, Iraq, 9-12-months-old). Firstly the hair was clipped then the skin was disinfected, and after local anesthesia was applied using lidocaine 2% (Sigma-Aldrich). The specimens were collected, and the wounds were sutured using non-absorbable suture material. The samples were handled at laboratories of the college of Veterinary Medicine ,University of Diyala ,Iraq and the specimens were prepared after being fixated with 10% of formalin for 72 hours, washed with tape water for 1 hour, and dehydrated using upgraded serial dilutions of ethanol from (70%,80%,90 %, and 100) %, and then clearing with xylene for 1hr/2canges after that infiltration with paraffin wax 9 melting point )58c) in the oven of 60 c° 1hr/3 changes and then embedded in wax (paraffin). Tissue sections 5-7µm- thick were obtained and stained using different histological staining protocols: Hematoxylin and Eosin (H&;E) were used to demonstrate the histological features of the skin and another stain Masson's trichrome for the demonstration of smooth muscle fibers and collagen fibers ( 20 ). The stained tissue sections were examined using a Gens microscope, and the structure of the skin was compared in the various areas in the body, and representative images were obtained using a Sony Digital

Morphometric Measurements:

By using a light microscope connected with a digital camera provided with image analysis software to take exact measurement of the thickness of the dog skin layers.

Results

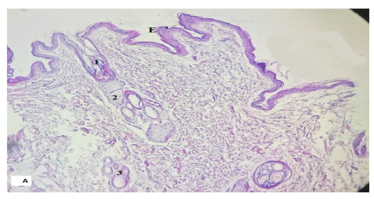
Epidermis: The basic structure of the skin consists of two layers, the superficial layers and the papillary layer of the corium participate in the form of the folds, (Fig. 1), we also depending on their height, the reticular layer of the corium is include only a minimal degree (Fig. 2). Due to differences in the individual and region make it impossible to determine with any consistency the size, number and shape of the skin folds. The diversity of the folding of the skin also influences the form of the epidermis in the description of the latter the characters from the base to the apex the folds must be considered. The epidermis forms a number of layers including stratum basale, spinousum ,grnulosum, and corneum). The stratum basale in dogs was a distinct region devoid of folds, it was continuous with spinous cells (stratum spinosum).These cells are slightly flattened and melanocytes scattered among these cells appear as rounded with pale cytoplasm (Fig.3). Stratum spinousum: composed of three cell layers these cells possesses characterized a spiny process, polyhedral in shape. Stratum granulosum: this layer is usually a single layer in the dog and their cells are described as more flattened than the spinous cells and present granules, (Fig,3). The total thickness of the epidermis in neck, dorsal and ventral regions are (50.301 ±1.6 ; 51.413±10.2µm; 62.160± .0.3µm) respectively.

Figure 1.Photomicroscope of Skin in local dog illustrates skin in the neck region of the epidermis (E) , dermis layers papillary (P), Reticulum layer ( R), hair follicles (1), sweat gland (2), Muscle(M) primary hair follicles : H & E Stain × 40, B: ;Masson’s Trichrome stain 200×

Figure 2.

Figure 3.Microphotograph, illustrated skin of the dog: S. Basale (1), S. Spinosum (2), S. Granulosum (3), S. Corneum (4), connective tissue (C, T) thin layers, fibroblast (blue arrow), melanocyte (black arrow) A: H & E Stain × 400, B;Masson’s Trichrome stain 400×.

Dermis: The dermis is divided into two layers the superficial papillary and the deeper reticular layers with no distinct line between them. The dermis is thicker than the epidermis and is classified as dense irregular connective tissue which consists of collagen bundles oriented in different directions, in addition to the ground substance and different cells (fibroblast. plasma cells, mast cells, and macrophage) muscle fibers, blood vessels, lymphatic vessels, nerves, and sensory endings. (Fig.3). The mean total thickens are (850 ± 0,22µm ;800 ± 8.1µm and 750.207± 3.1µm) , respectively. It contains also skin appendages like hair follicles, (Fig. 2B,3,4) and cutaneous glands which are associated with primary hair follicles only. The hair produced by hair follicles consists of active cells, and a bundle of smooth muscle cells is attached to the follicles sheath called arrector pili muscle (Fig.5). The sebaceous glands were present in different regions of body (Fig.6). The sweat gland is a simple coiled tubular gland related to the hair follicles, is present more in the thoracic region in clusters, is few and is observed in the reticular layers of the dermis. These ducts of the sweat glands are communicated with the skin's surface whereas lobular glands in dogs are distributed in dermis layers (Fig. 5).

Figure 4.

Figure 5.

Figure 6.

Sub cutis: Subcutaneous adipose tissue is located beneath the dermis made up of loose connective tissue generally, which transforms into subcutaneous adipose tissue (Fig.5) and muscle (Fig.1).

Discussion

The current study of the skin of local dogs adds information on the structure of the skin to understand the mechanism of wound healing by the complex series of interactions between different, cell types the skin of the dog is composed of numerous cell layers and these layers are modified depending on the region of the body. When the samples were taken from the neck region and thoracic and abdominal region it was composed of the three main cell layers, This result was found in Jenubi and crossbreed cows ( 21 , 16 ). The skin has a wide spread of long colored hair. The surface of the epidermis is smooth in some areas, but in others, it has ridges or folds that reflect the contour of the underlying superficial layer of the dermis. The thickness of the epidermis varies with its location. In regions where there is a heavy protective coat of hair, the epidermis is thin in dogs in the neck, thoracic, and abdominal area this result is found in pigs ( 15 ), were intermediate epidermis is present in sheep, goats, and donkeys ( 22 , 16 ) but in non-hairy skin such as that of the mucocutaneous junction, the epidermis is thicker. ( 14 ). The epidermis in local dogs as such of mammals is covered by keratinized stratified squamous epithelium and beneath four cell layers these results are found in wild rabbits and local ( 23 ). The structure of the epidermis in the three studied regions slightly changes depending on the growth cycle of the hair and this finding agrees with results obtained in pigs ( 15 ). The layers of the epidermis including the stratum basale in dogs were distinct or usually not easily distinguished in regions devoid of the fold this result is stated in cow Janubi skin ( 21 ).

In the current study the thickness of the epidermis layer in different study areas (neck, abdominal, and thoracic region), the spinosum layers form 3-2 layers while it forms several cells. This layer formed of polyhedral cells with a large number of desmosomes ( 24 ), and the third layer (stratum granulosa) is a single layer in dogs. These results resemble that in local rabbits ( 23 ), sheep, goats, and donkeys ( 16 ); but differ in the buffalo which is multilayered ( 8 ).

The stratum granulosum in the epidermis of a dog is composed of one layer and this finding simulates that in sheep, goats, and donkeys ( 16 ) and differs to that in buffalo which consisted of several layers ( 8 ). The variation in the skin thickness may be due to animal species and other related factors such as different weather in different areas and External influences such as chemical and physical factors. The stratum lucidum is present only in the thick skin. It lacks in the collected regions in dogs. In the current study, the dermis in dogs was easily distinguished morphologically between the connective tissue of the papillary and reticular layers of corium. The dermis of the skin has been divided into superficial (papillary) and deep (reticular) layers which are densely compacted without clear demarcation between the two layers. The hair follicles and sweat glands are numerously distributed in this region.

The sweat glands of the current study were of a saccular and simple coiled tubular type and most of them were attached to hair follicles as reported earlier by ( 25 , 10 ) in camel. In Indian and Iraqi buffalo there is no distinct boundary between the papillary and reticular layers ( 8 ). The terminated layer of the skin called subcutis consists of the fat and muscle This muscle is the major muscle under the skin this results in agreement with ( 11 , 21 ). Wide distributed of the primary hair follicles associated with sweet glands that secreted portion via the straightened duct such as buffalo ( 19 )and goat ( 26 )

The hair follicle in dogs has a primary type, while the Awasse sheep have two types of hair follicles; the primary type produces rough wool fibers, and the secondary type is responsible for the production of smooth wool ( 27 ). The fat tissue in the hypodermis has metabolic functions, producing triglycerides and vitamin D. The dermis exhibits seasonal variations. The skin thickness in different areas varied of some animals, such as the hedgehog, and varied distribution of the sebaceous and sweat glands because of their need for water retention and avoidance of energy loss through heat ( 24 ).In the present study, most of the simple coil tubular types of the glands were attached with hair follicles as reported earlier by ( 25 , 10 ) in the camel, the sebaceous gland types in the dog were simple branched .

Conclusion

The skin of a local dog in Iraq is the largest organ, covers the largest area of the body, and consists of .The epidermis and dermis are joined to underlying supporting structures such as muscle and bone by the subcutis. The skin in dogs is characterized as thin and smooth which is different from that in cows, buffalo, and camel, the epidermis has thin layers. The sweat glands are few in the studied regions and seen in various planes of sections.

Conflicts of interest

The authors declare that there is no conflict of interest.

Ethical Clearance

This work is approved by The Research Ethical Committee

References

  1. Ross, M.H., Romrell, L..J. and Kaye, G.I (1995). "Histology. A Text and Atlas" Williams and Wilkins, Baltimore, Maryland, USA., 370-389. https://doi.org/10.1113/expphysiol.1998.sp004330.DOI
  2. Zokaei, S., Farhud, D. D., Keykhaei, M., Yeganeh, M. Z., Rahimi, H., &Moravvej, H. (2019).Cultured epidermal melanocyte transplantation in vitiligo: a review article. Iranian Journal of Public Health, 48(3), 388-399.https://doi.org/10.18502/ijph.v48i3.881.DOI
  3. Arda, O., Göksügür,N., &Tüzün,Y.(2014). Basic histological structure and functions of facial skin. Clinics in dermatology, 32(1), 3-13.. https://doi.org/10.1016/j.clindermatol.2013.05.021.DOI
  4. Alkhazraji, K., Zghair,S., &;Naser,A. (2023). Macro and micromorphometric study of the adrenal glands in adult Male local dogs. In AIP Conference Proceedings.AIP Publishing. 2475( 1), 010001,https://doi.org/10.1063/5.0102850.DOI
  5. Swann, G. (2010). The skin is the body‟s largest organ.Journal of visual communication in medicine, 33 (4): 148–149.https://doi.org/10.3109/17453054.2010.525439.DOI
  6. Emilson, A. (1997). Analysis of human epidermal Langerhans cells and Allergens with confocal laser scanning microscopy. Repro Print, AB., Stockholm, 42-65.https://doi.org/10.2340/0001555573323329.DOI
  7. Bhattacharya, I. U. Sheikh, and J. Rajkhowa, “Epidermal thickness in the skin of Yak (Poephagus poephagus.(2003). Indian Journal of Veterinary Anatomy, 15, 73–76.
  8. Ibrahim, R. S., &Hussin, A. M. (2018). Comparative histological study of the integument in buffalo and cow. Diyala Journal of Agricultural Sciences,10(Special Issue): 24-34.
  9. Di, W.L.; Rug, E.L. and Kellest, D.P. (2001). Multiple epidermal cannikins are expressed indifferent keratinocyte subpopulations including onnexin 31 J. Invest Dermatol., 117(8): 958-994. https://doi.org/10.1046/j.0022-202x.2001.01468.x.DOI
  10. Khaleel, I. M., Khalid, H. K., Mahdi, A. K. A., &Sarah, A. K. (2022). Histological and histochemical comparative study of the skin of three different locations between gazelle and camel. J. Camelid Sci, 16, 1-12.
  11. Schwarz, R., Le Roux, J. M. W., Schaller, R., &Neurand, K. (1979). Micromorphology of the skin (epidermis, dermis, subcutis) of the dog‏,Onderstepoort J. vet. Res,46,105-109.
  12. Tomlinson, D.J.; Mulling, C.H. and Faklerm, T. M. (2004). Invited review: formationof keratins in the bovine claw: roles of hormones, mineral and vitamins in function claw integrity. Journal of Dairy Science,84(4),797-809.https://doi.org/10.3168/jds.S0022-0302(04)73223-3.DOI
  13. Aktaș, A., &Dağlıoğlu, S. (2009). Examination of structural features of skin in sheep breeds fetuses with histological methods.cabidigitallibrary.org.15(3),391-396.
  14. Samuelson, D.A. (2007). Veterinary Histology. 1st Ed. Elsevier Pp: 271- 302.
  15. Azeez, I. A., Hena, S. A., Ogwujo, P. O., Omirinde, J. O., Akinsola, O. M., NJ, P., &IJ, G. (2022). Comparative skin anatomy of the Nigerian local dogs and pigs. Savannah Veterinary Journal, 5(1),1-20 , 16-Mohammed, E. S., Madkour, F. A., Zayed, M., Radey, R., Ghallab, A., &Hassan, R. (2022). Comparative histological analysis of the skin for forensic investigation of some animal species. EXCLI journal, 21, 1286‏.
  16. Braverman, I. M. (2000, December). The cutaneous microcirculation. In Journal of Investigative Dermatology Symposium Proceedings, 5(1),3-9. Elsevier https://doi.org/10.1046/j.1087-0024.2000.00010.x.DOI
  17. Jacobsen, E., Billings, J. K., Frantz, R. A., Kinney, C. K., Stewart, M. E., &Downing, D. T. (1985). Age-related changes in sebaceous wax ester secretion rates in men and women. Journal ofinvestigativedermatology, 85(5),483-485.https://doi.org/10.1111/1523-1747.ep12277224..DOI
  18. Debbarma, D., Uppal, V., Bansal, N., &Gupta, A. (2018). Histomorphometrical study on regional variation in distribution of sweat glands in buffalo skin. Dermatology Research and Practice, (1), 5345390.https://doi.org/10.1155/2018/5345390.DOI
  19. Suvarna, S. K., Layton, C. and Bancroft, J. D. (2018). Bancroft's theory and practice of histological techniques, 8th ed. Churchill,Livingstone Elsevier Philadelphia. 176 - 225.
  20. Alsodany, A., Alderawi, K., &Mraisel, A. (2019, July). Comparative histological study of skin in Jenubi and its crossbreed cow. In Journal of Physics: Conference Series 1234 (1) 012067) https://doi.org/10.1088/1742-6596/1234/1/012067.DOI
  21. Razvi, R., Suri, S., &Sarma, K. (2013). Histomorphological study on the sweat glands in Bakerwali goats. Indian Journal of Veterinary Anatomy,25(2).https://doi.org/10.1080/09712119.2014.963089.DOI
  22. Ibrahim, R. S., Hussein, A. A., &Jabbar, A. I. (2017). Comparative microscopically study of the skin in local and wild rabbits. Kufa Journal For Veterinary Medical Sciences, 8(1), 151-156.https://doi.org/10.36326/kjvs/2017/v8i14319.DOI
  23. Al-Abbas, A. H., Abdul Raheem, M. H., Chaudhury, M. S., &Hilmy, M. I. (1974). The skin of Gazelle 1-Morphological studies. Ann Coll Med Mosul, 5, 113-129.
  24. Taha, A. A. M., &Abdalla, A. B. (1980). Light and electron microscopy of the sweat glands of the dromedary camel. Acta Veterinaria Brno,49(1-2),31-35.https://doi.org/10.2754/avb198049010031.DOI
  25. Moradi, A. M. and Sheibani, M.T. 2000. Histology study of hair follicles Raini goat skin. Journal Faculty of Veterinary Medicine, University of Tehran. 55 (2): 75-78.https://doi.org/10.1051/medsci/2006222131.DOI
  26. Al-Bideri, A.W. (2003). Ultrastructure and cellular organization in different anatomical sites of some adult Iraqi mammals epidermis. M.Sc. Thesis, AL-Qadissiya.