Document Type : Research Paper

Author

student

Abstract

  The current experience was carried out to evaluated the impacts of Zinc and VitD3  on the thyroid gland, and testicular functions as well as bone tissue architecture in rats with zinc deficiency, forty juvenile rats were used, and Zinc deficiency was induction within a dose of 30 mg/kg of 1,10 phenanthroline dissolved in  0.5 ml of DMSO.  Rats were distributed into four groups: group I.  Rats served as control without zinc deficiency, was received 1ml of saline, group II with zinc deficiency  considered as positive control, was received 1ml of saline, group III with deficiency, was  treated  with   zinc  20mg /kg , group IV with Zn deficient, was treated with Vit D3 at a dose of 500 IU/kg, all groups treated orally for 30 days consecutive, our findings indicating that zinc deficiency caused to elevated TSH and T4 while lowered T3 values, markedly decreased in testosterone, FSH and LH, whereas    histopathological alteration in bone its representing by loss of trabecular mass and atrophy of the  osteoblast were observable, while the  administration of zinc and Vit D led to  improvement thyroid and sexual hormones as well osteoblast activity.  In Conclusion zinc deficiency causing harmful impacts on thyroid gland, spermatogenesis and bone mineralization, while the administration of zinc and Vitamin D results in improvement hormone levels and restoration of the histopathological changes in the bone.

Keywords

Article Title [العربیة]

دراسة التأثيرات المخففة للزنك وفيتامين د3 على بعض الهرمونات والتغيرات النسيجية المرضية في ذكور الفئران الصغيرة؛ نقص الزنك

Author [العربیة]

  • مريم الموصلي

student

Abstract [العربیة]

يرتبط الزنك ارتباطًا وثيقًا بالجهاز الصماء وهو ضروري للوظائف التناسلية والغدة الدرقية أيضًا، يلعب الزنك دورًا مهمًا من الناحية الفسيولوجية في نمو وتمعدن أنسجة العظام، أجريت الدراسة الحالية لتقييم تأثيرات الزنك وفيتامين د3 على الغدة الدرقية ووظائف الخصية وكذلك بنية الأنسجة في الفئران الصغيرة التي تعاني من نقص الزنك، تم استخدام 40 من الفئران الذكور الصغار في التجربة الحالية، تم إحداث نقص الزنك عن طريق جرعة واحدة داخل الصفاق 30 مجم / كجم من 1،10 فينانثرولين مذاب في 0.5 مل من ثنائي ميثيل سلفوكسيد بعد صيام 12 ساعة للفئران، تم قياس مستوى الزنك في المصل بعد 24 ساعة من الحقن، 10 فينانثرولين، كانت قيمة الزنك أقل من (1 ميكروجرام / مل) مما يشير إلى نقص الزنك، تم توزيع الفئران بشكل عشوائي ومتساوي في مجموعات وريدية، عشرة فئران في كل مجموعة، على النحو التالي؛ المجموعة الأولى (الفئران السليمة)، تم استخدام الفئران كمجموعة ضابطة (بدون نقص الزنك)، تلقت هذه المجموعة 1 مل من المحلول الملحي عن طريق الفم لمدة 30 يومًا متتالية، المجموعة الثانية (مع نقص الزنك)، تعتبر مجموعة ضابطة إيجابية، تلقت 1 مل من المحلول الملحي عن طريق الفم لمدة 30 يومًا متتالية (مع نقص الزنك، المجموعة الثالثة)؛ تم علاجه بكبريتات الزنك 20 ملجم / كجم. ب.و مذاب في (1 مل) من المحلول الملحي عن طريق الفم لمدة 30 يومًا متتالية، المجموعة الرابعة (مع نقص الزنك)، تم علاجها بفيتامين د3 بجرعة 500 وحدة دولية / كجم، مذاب في 1 مل من المحلول الملحي عن طريق الفم لنفس المدة في المجموعات المذكورة أعلاه، تشير نتائج هذه الدراسة إلى أن نقص الزنك

Keywords [العربیة]

  • (قصور الغدة الدرقية)
  • و(قصور الغدد التناسلية)
  • و(قمع إعادة تشكيل العظام عن طريق تثبيط تمايز الخلايا العظمية وانتشارها)
  • في حين أن الزنك وفيتامين د لهما تأثيرات (مضادة لقصور الغدة الدرقية)
  • و(مضادة للعقم) (محسّنة لنشاط الخلايا العظمية)

Introduction

Zinc is the most commonly trace element which is required in the smallest quantities in humans and animals to optimal biological processes and maintain a healthy life, it plays important roles in the immune, cell proliferation , apoptosis, growth and reproduction as well defense against free radicals and repairing of DNA disrupt since more than three hundred proteins contains on Zinc; Which is primarily for regulating cellular processes integrity, and all body metabolism involved ATP utilization, and performance of work ( 1 , 2 ); Zn plays a crucial part in spermatogenesis process, improve the fertility via controlling protein expression that correlated to Sperm Maturation and helps maintain sperm motility; It is as well play an important role in thyroid hormone metabolism ( 3 , 4 )., Additionally, Reports indicate to zinc's antioxidant capabilities and, its ability to shield tissue from oxidative damage and it has a stimulatory impact on osteoblastic bone formation and mineralization ( 5 , 6 ).

Zinc insufficiency; is interestingly seen as a very prevalence public health issue, especially in poor Countries ( 7 ). Many developmental have shown that zinc insufficient can cause development disorders, bone growth retardation, and, poorl defenses against DNA disruption which becomes persons vulnerable to deoxyribonucleic acid-disrupting materials as well as cognitive impairment ( 8 , 9 , 10 ). Reduce Zn values in the cells can worsen stressful damage and interaction with p53's ability to bind with deoxyribonucleic acid and then repair deoxyribonucleic acid; Zinc insufficiency could directly disrupted DNA and, finally increase their hazard of induced cancer ( 11 ). Zinc deficiency increasing germ cell apoptosis and suppressive spermatogenesis and, fertilization arrest ( 12 ). Zn insufficiency is concomitant with several types of muscle abnormalities in embryo and offspring growing indicating to physiological role of Zn in the development and Mineralization of the Bones( 3 ). Also, Zn insufficiencies can impair thyroid gland action and inhibit the spermatogenesis process

Vit D3; belongs to the secosteroids type, it controls the homeostasis of Ca and P and strings the bones, it is synthesized as Vit D3 from the skin or ingested as Vit D2 from diet ( 13 ). The body requires very few amounts of vitamins ; Vit D3 plays several biological activities via the binding and activation of Vit D receptors (VDR), it has a pleiotropic role on target cells and systems, its insufficiency results in damage to metabolic processes and, vital bodily functions ( 14 ). Vit D3 plays important role in male reproductive system since the expression of VitD Receptors and Vit D metabolizing enzymes was demonstrated in the testes also spermatozoa ( 15 ). Vitamin D has potent effect on the immune system and is probable to affect the thyroid during its immunomodulatory impacts ( 16 ). Vitamin D has an impact on bones during the stimulation of osteoblasts which release the enzyme ALP contributing to elevation in the Phosphate concentration and calcium ion all of this enhances to mineralization ( 17 ). The current experience was carried out to evaluate the impacts of Zinc and VitD3 supplementation on the thyroid gland and, testicular functions as well as architecture bone tissue in juvenile male rats with zinc deficiency.

Materials and Methods

Animals model: 40 juvenile male Albino rats ( 30 ) days of age, initially weighing (55-65gm) were used in the current experience. Juvenile rats were put in the cages of the animal's room within standard conditions at temperature ( 25±2 °C), illuminated for 12hrs light / drak cycles with free access to tap water in plastic bottles with stainless-steel sipper tubes and fed a commercial diet during the experiment duration, after adaptation for seven days, the Zinc deficiency induction in juvenile rats.

Procedure

Inducing of Zinc deficient: Zinc deficient induced with injection of 1,10 phenanthroline at a dose 30 mg/kg I. P ( 18 ), dissolved with 0.5 ml of dimethyl sulphoxide next twelve hrs fasted animals, the Zinc value was estimated to according method of ( 19 ) next twenty-four hrs from 1,10 phenanthroline injected , the value of Zn below (1 μg/ml ) indicating ZD induced , juvenile animals were divided into ( 4 ) groups, ten juvenile animals each, as follows; group I (intact rats), rats served as normal control( without zinc deficiency ), animals received saline 1ml ; group II( with ZD ), c as a positive group, animals received saline 1ml , group III ( with ZD ); animals treated with zinc sulfate 20mg /kg. b.w dissolved in(1ml) of saline, according to( 20 ), group IV( with ZD), animals treated with 500 IU/kg of vitamin D3, dissolved in1ml of saline, according to ( 21 ), orally treatment for 30 days consecutive.

Sampling: Upon completion of the experience period, the samples of blood were collected and prepared for hormone investigation. Animals were fasted overnight, (2 ml) of blood was taken via myocardial - puncture from each male rat in the experimental animals after anesthesia by ether and blood was put into tubes without- heparin and left in slant positions to allow the formation of the a clot. Then then, the blood sample was centrifuged at 103rpm for ten mins for separated serum and put in the tubes ( Eppendorf), and then kept in a Freezer at (-20° C) till hormones estimation.

Hormones Analysis: The concentration of thyroxine, triiodothyronin as well as thyroid- stimulating hormone was assessed depending on the method ( 20 ). While the values of testosterone (T) and gonadotrophin hormones (FSH, LH), were assayed according to ( 22 ).

Histological analysis: 30 days after starting the experience , the rats were sacrificed while still under anesthetized ether, the specimens of bone tissue were taken from the all animals, the bones were cleaned from the surrounding musculature and fixed in neutral solution (formalin) with concentration 10% for one day thereby decalcification by immersed in formic acid( 23 ) until softening, then washed with running tap water for 3 days, the tissue then put in ethanol within a graded concentrations for dehydrated and following by dealcoholization by xylol , and embedded in paraffin wax and blocking, the histological sections were sectioned with thickness5μm by a microtome and dewaxed , rehydration and, stained with H&E stain. We examined the sections to explore any changes in histopathology.

Analysis of Statistical: the outcomes are expressed as mean ± SD, to evaluate statistically the significance of the experimental findings by the one-way analysis of variance (ANOVA), findings were considered significant when P value < 0.05.

Results

The outcomes The outcomes clarified in Table (1) revealed there was significant increase in TSH and T4 values concomitant with significant decrease in T3 values in animals with zinc deficiency as compared to intact animals, whereas the results exhibit a significant decline in value of TSH along with improve values of T4 and T3 after treatment with zinc and Vit D3 as compared to positive and negative group. The data indicated in Table (2) exhibit there was a significantly decline in the value of testosterone and LH along with non-statically difference in values of FSH as compared to their values in the normal group. As seen the administration of zinc and Vit D3 resulted in significant increase in testosterone values and restored the values of both FSH and LH to proximately normal.

Groups  TSH µIU/L T3 µIU/L T4 µIU/L
Negative Control 0.88 ±0.05 b 1.61 ± 0.02 a 6.36 ± 0.06 c
ZD Positive control 1.47 ± 0.21 a 0.71 ± 0.07 d 8.00 ± 0. 19 a
ZD Treated with Zinc 20mg/ kg 0.80 ± 0.01 b 1.53 ± .040 b 6.48 ± 0.12 bc
ZD Treated with VD3 500 IU/ kg 0.74 ± 0.07 b 1.38 ± 0.03 c 6.56 ± 0.19 b
Findings are expressed as Mean ± SD, the symbol represent statistical difference at p < 0.05 value comparison to health animals
Table (1).the effect of zinc sulfate and Vit D3 on TSH, T4 and T3 hormones in male rats with zinc deficiency.
Group FSH mIU/ml LH mIU/ml T pg/ml
Negative Control 4.28 ± 0.22 NS 1.02 ± 0.07 a 2.55 ± 0.20 a
ZD Positive control 4.09 ± 0.08NS 0.83 ± 0.02 c 1.53 ± 0.02 c
ZD Treated with Zinc 20mg/ kg 4.25 ± 0.17NS 0.96 ± 0.06 ab 2.21 ± 0.14 b
ZD Treated with VD3 500 IU/ kg 4.22 ± 0.12NS 0.90 ± 0.03 b 2.13 ± 0.14 b
Findings are expressed as Mean ± SD, the symbol represent statistical difference at p < 0.05, value comparison to health animals
Table (2).the effect of zinc sulfate and Vit D3 on reproductive hormones (Testosterone , FSH, LH) in male rats with zinc deficiency.

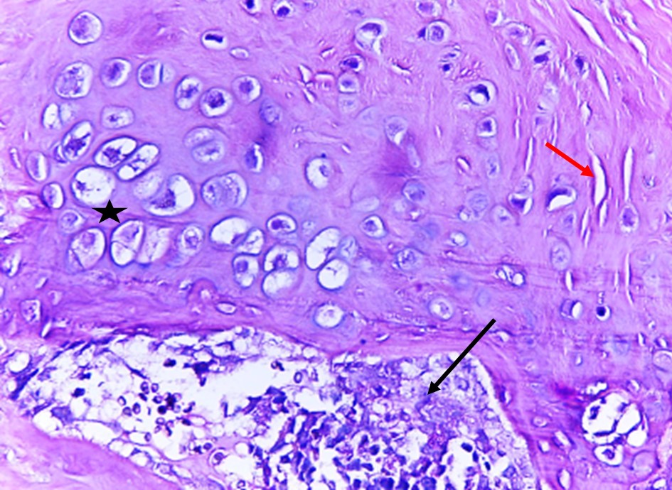
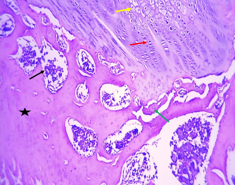
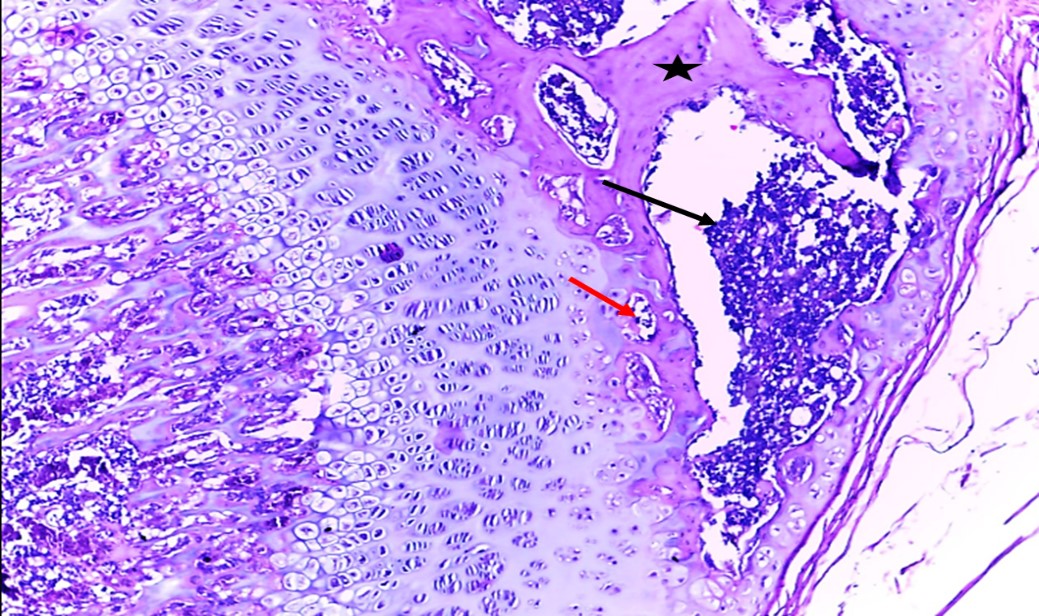
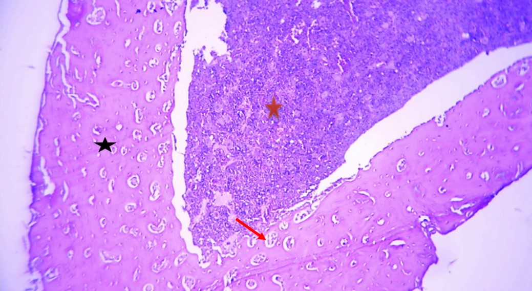
as shown Histologic al alterations in femur bone in rats with zinc deficiency in (Fig 2), involved loss of trabecular mass especially compact bone and altered osteoclast activity in the bone tissue were evaluated by atrophy in osteoblast and then decrease in bone density as compared to femur bone in rats without zinc deficiency in (Fig1) which characterized by normal architecture bone tissue showing normal compact (black star), spongy bone(black arrow) normal osteoblast (red arrow), osteoclast(yellow arrow) and normal trabecular (green arrow). Whereas the administration of zinc and Vit D cause to restoration these histological changes which including significantly improve in the trabecular mass (compact and spongy bones), improve bone density as well improve tissue remodeling and semi normal trabecular mass with normally distribution of osteoblast and osteoclast (red arrow) with good appearance of compact and spongy bone as shown in (Figs 3 and 4), the above changes in femur bone as comparison to femur bone in (Fig 2).

Figure (1).

Figure (2).

Figure (3).

Figure (4).

Discussion

As seen current data indicate that diminish zinc level lead to hypothyroidism is expressed through remarkably increased thyrotropin and thyroxine in concurrently with notable diminished triiodothyronine in albino rats zinc insufficiency comparison to normal rats , this might be attributed to diminish the action of 5- deiodinase in hepatic tissue consequent resulted lowering in transform of thyroxine to triiodothyronine; at other point, in return triiodothyronine requires the Zinc to complete its biological activity ( 24 ), these outcomes are agreed with those results described by( 25 ) which indicating that the development of subclinical hypothyroidism by zinc deficiency. On the other hand, ( 26 ) who reported that the thyrotropin produces because a greater releasing TRH from its secretagogue via stimulating its receptor- TRH-R1 expressed in the thyrotroph cells in pituitary gland results in improved TSH release or due to diminished value of triiodothyronine results in detachment of a nuclear- thyrotropin receptor from the thyrotropin gene developer, in such a way that the expression of the hormone is un-inhibited. Another work ( 27 ) which found that zinc deficiency can be responsible for more activation of thyrotropin produced by increasing TRH through suppression of PPII activity due to zinc deficiency in rats was observed, above results are in parallel to findings in our study. According to results, the administration of zinc sulfate and vitamin D causes an improvement in thyroid stimulating hormone and thyroid function this might be ascribed to the antioxidant impacts displayed by it ( 10 , 16 ). These outcomes agree with those results described by previous reports ( 28 , 20 ) that have shown that Zn plays an important part in T4 and T3 metabolism as well as the transformation of T4 to T3. On the other hand, zinc impacts deiodinase action via its ability to elevate the value of GPX of the albino rats suffering from hypothyroidism to prevent the progressive stressful impact. This was supported by earlier work on the prostate in rat exposure to PCBs that recorded restoration of the values of T3, T4 and TSH by simultaneous Zn sulphate administration with the PCBs causing an increase in antioxidant enzymes ( 29 ). Moreover, the improvement levels of T4 and T3 hormones in rats with Zn insufficiency treated with Vit D3 because of lowered liver deiodinase 3 actions that diminished the destruction of the T4 ,and T3 hormones of the hepatic tissue ( 30 ). Our findings are supported, by, ( 31 ) who revealed that Vit D3 administration to diabetic rats causes a marked improvement in thyroid status, the impact because of the action of Vit D3 in the elevation of deiodinase 2 expression, and thereby transforming the thyroxine for triiodothyronine. Another work was reported by ( 32 ) who showed that the administration of VD effectively ameliorated TT3, fT3, TT4, and fT4 values in concomitant with markedly diminished in serum TSH and Tg-Ab values in arsenic-exposed rats. The above observations are in parallel with the outcome in our study.

As according we result demonstrated that significantly lowered testosterone levels with in concomitant decreased in LH and FSH levels in zinc deficiency rats compared to rats without zinc deficient, this impact might be due to mal-function of the luteinizing receptor action regulating the produce and stored of T and damage of the interstitial cells; Where T is bio - synthesized or is a result a losing in the efficiency of the sex hormone - binding consequently losing of a key protein and enzyme mediating the responses for Luteinizing hormone ( 33 , 34 ). Our outcomes were confirmed by results described by ( 35 ) who reported that zinc deficiency causes impaired spermatogenesis. This may be attributed to increased superoxide radical activity and oxidative stress along with increased proinflammatory cytokines. A Previous study was done by ( 36 ) which revealed that during the, maturity of rats, Zn deficiency reduces the activity of Dcp and may cause a delay in sexual maturity. Along the same line, the releasing of gonadotropin hormone is altered by Zn deficiency. ( 37 ) Found that gonadotropin hormone values lowered in Zn deficient can be attributed to damage to the pituitary gland and lowered output of GnRH from the hypothalamus, this observation is in line with our outcomes. The treatment with Zn and Vit D3 to rats led to restoration of the harmful impacts of Zn insufficient for the pituitary–testicular- axis caused increasing the values of steroid(T) and gonadotropin hormones normal limited approximately through their anti-inflammatory and antioxidant properties ( 38 , 39 ). We outcomes in parallel with findings obtained by other researchers ( 40 ) who observed that Zinc may increase testosterone values. This may be attributed to zinc coupling with proteins further stimulating 2Nrf2, hence neutralizing prooxidative and, inflammatory intranuclear and extranuclear pathways. Moreover, zinc intake causes an increase in interstitial cell count of the testes of male Rabbits, this elevates T biosynthesis and increases spermatozoa count in the testes ( 41 ). In another research ( 42 ) it was mentioned that the serum LH, FSH, and Testosterone values markedly increased in co-treatment of cisplatin in conjugation with Zn administration relative to cisplatin ]-treated rats only. All the above results inconsistent with the findings in this study. From we findings clarify that vitamin D3 has ameliorated effec on the hypothalamus -pituitary- testicular axis led to enhancing steroid and gonadotropin hormones biosynthesis this can be attributed to Vit D possess potent properties as antioxidant, anti-inflammatory and antiapoptotic ( 43 , 44 ). These findings agree with those obtained by ( 45 ) who revealed that VitD3 administration for one month remarkably increased values of Testosterone; likely during up-regulation of steroidogenesis-related genes in rats testis which exposed to cisplatin. A previouse work reported that Vit D3 stimulates Testosterone Formation in the Leydig cells exerted via promotion of the IGF-1 signaling pathway; this impact could be mediated VDR-dependent actions in testes ( 46 ). These observations supported with our findings. Along same line, in another work by ( 47 ) who reported that vitamin D3 improve gonadal- function by enhancing pituitary action is exerted by (PPAR-c,/TGF-b1/NF-jB )- signaling pathway in diabetic rats.

The histological alterations in femur bone its representing by loss of trabecular mass and atrophy of the osteoblast in rats femur bone with zinc deficiency inas compared to femur bone in rats without ZD which characterized by normal architecture bone tissue, this illustrates impairing bone formation by suppression osteoblast proliferation and differentiation might be attributed to elevation of oxidative stress and pro- inflammatory cytokines levels in concurrently with depletion of endogenous antioxidant status results in apoptosis of the osteoblasts, and osteocytes as well the osteogenesis and mineralization process slowdown ( 48 , 49 ). Along the same line, zinc deficiency causes dropped levels of calcium and phosphorus in bone tissue consequently impairment in bone mineralization and loss architecture ( 50 , 51 ). The obvious alleviated in the bone architecture in male rats treated within the administration of Zinc sulfate, and VitD3 which manifested by decreased the spaces, significantly improved the tissue remodeling and semi normal trabecular mass with normall distribution of osteoblast and osteoclast, this may be attributed to the zinc and Vit D possesses potential anti-inflammatory and antioxidant activities ( 52 ,). In another study by ( 54 ) who revealed that ZnHA-NPs supplementation in minimum doses have stimulatory potential impacts in the preventive and therapeutic, of osteoporosis in OVX rats. Also {55} mentioned that Zn administration with high concentration reduced pro-inflammatory mediators via suppressing the; IκB kinase (IKK)-,α/NF-κB, signaling pathway, these observations are consistent with our findings.

Conclusion

we concluded from outcomes that zinc deficiency causing harmful impacts on thyroid gland, spermatogenesis and bone mineralization, while the administration of zinc and Vit D resulted in improvement hormones level and restoration the histopathological changes in bone.

Conflicts of interest

The authors declare that there is no conflict of interest.

Ethical Clearance

This work is approved by The Research Ethical Committee.

References

  1. Kido, T., Hachisuka, E., Suka, M., &amp; Yanagisawa, H. (2021). Interleukin-4 administration or zinc supplementation is effective in preventing zinc deficiency–induced hemolytic anemia and splenomegaly. Biological Trace Element Research, 199(2), 668–681.https://doi.org/10.1007/s12011-020-02172-1.DOI
  2. Dzen, Y., Rosalovsky, V., Shtapenko, O., Slypaniuk, O., &amp; Salyha, Y. (2023). Effect of zinc methionine supplementation on biochemical and hematological indices of growing rabbits. Bulgarian Journal of Agricultural Science, 29(4), 714–722.
  3. Kumar, P., Yadav, B., &amp; Yadav, S. (2013). Effect of zinc and selenium supplementation on antioxidative status of seminal plasma and testosterone, T4, and T3 levels in goat blood serum. Journal of Applied Animal Research, 41(4), 382–386. https://doi.org/10.1080/09712119.2013.783482.DOI
  4. Kour, J. J., Devi, K. S., Sarma, D., &amp; Chakraborty, D. (2020). Effect of zinc supplementation on thyroid and testosterone hormone levels in Wistar rats. International Journal of Current Microbiology and Applied Sciences, 9(10), 1829–1835.: https://doi.org/10.20546/ijcmas.2020.910.223.DOI
  5. Tomas-Sanchez, C., Blanco-Alvarez, V. M., Martinez-Fong, D., Gonzalez-Barrios, J. A., Gonzalez-Vazquez, A., &amp; Aguilar-Peralta, A. K. (2018). Prophylactic zinc and therapeutic selenium administration increase the antioxidant enzyme activity in the rat temporoparietal cortex and improves memory after a transient hypoxia-ischemia. Oxidative Medicine and Cellular Longevity, 2018, 416–432. https://doi.org/10.1155/2018/9416432.DOI
  6. Amjed, T., Al-Rudaini, L. A., Salih, S. S., &amp; Al-Dujaily, S. (2024). Effects of oral zinc supplementation on early embryonic development and neonates of aged female albino mice. Iraqi Journal of Science, 65(4), 1940–1947. https://doi.org/10.24996/ijs.2024.65.4.14.DOI
  7. Prasad, A. S. (2012). Discovery of human zinc deficiency: 50 years later. Journal of Trace Elements in Medicine and Biology, 26(2–3), 66–69. https://doi.org/10.1016/j.jtemb.2012.04.004.DOI
  8. Yanagisawa, H. (2008). Zinc deficiency and clinical practice: Validity of zinc preparations. Yakugaku Zasshi, 128(3), 333–339. https://doi.org/10.1248/yakushi.128.333.DOI
  9. Kido, T., Ishiwata, K., Suka, M., &amp; Yanagisawa, H. (2019). Inflammatory response under zinc deficiency is exacerbated by dysfunction of the Th2 lymphocyte–M2 macrophage pathway. Immunology, 156(4), 356–372.
  10. Kodama, H., Tanaka, M., Naito, Y., Katayama, K., &amp; Moriyama, M. (2020). Japan’s practical guidelines for zinc deficiency with a particular focus on taste disorders, inflammatory bowel disease, and liver cirrhosis. International Journal of Molecular Sciences, 21(8), 2941. https://doi.org/10.3390/ijms21082941.DOI
  11. Kawasaki, I., Suzuki, Y., &amp; Yanagisawa, H. (2013). Zinc deficiency enhances the induction of micronuclei and 8-hydroxy 2′-deoxyguanosine via superoxide radical in bone marrow of zinc-deficient rats. Biological Trace Element Research, 154(1), 120–126. https://doi.org/10.1007/s12011-013-9706-8.DOI
  12. Sun, J. Y., Wang, J. F., Zi, N. T., Jing, M. Y., &amp; Weng, X. Y. (2011). Effects of zinc supplementation and deficiency on bone metabolism and related gene expression in rat. Biological Trace Element Research, 143(1), 394–402. https://doi.org/10.1007/s12011-010-8869-9.DOI
  13. Pittas, A. G., Dawson-Hughes, B., Sheehan, P., Ware, J. H., Knowler, W. C., &amp; Aroda, V. R. (2019). Vitamin D supplementation and prevention of type 2 diabetes. New England Journal of Medicine, 381(6), 520–530. https://doi.org/10.1056/NEJMoa1900906.DOI
  14. Della Nera, G., Sabatino, L., Gaggini, M., Gorini, F., &amp; Vassalle, C. (2023). Vitamin D determinants, status, and antioxidant/antiinflammatory-related effects in cardiovascular risk and disease: Not the last word in the controversy. Antioxidants, 12(5), 948. https://doi.org/10.3390/antiox12040948.DOI
  15. Aquila, S., Guido, C., Perrotta, I., Tripepi, S., Nastro, A., &amp; Andò, S. (2008). Human sperm anatomy: Ultrastructural localization of 1α, 25-dihydroxyvitamin D3 receptor and its possible role in the human male gamete. Journal of Anatomy, 213(5), 555–564. https://doi.org/10.1111/j.1469-7580.2008.00975.x.DOI
  16. Chaudhary, S., Dutta, D., Kumar, M., Saha, S., Mondal, S. A., Kumar, A., et al. (2016). Vitamin D supplementation reduces thyroid peroxidase antibody levels in patients with autoimmune thyroid disease: An open-labeled randomized controlled trial. Indian Journal of Endocrinology and Metabolism, 20(3), 391–398. DOI: 10.4103/2230-8210.179997.DOI
  17. Martins, M. L., Arrepia, B. F., Jural, L., Vicente-Gomila, J., Masterson, D., &amp; Maia, L. C. (2024). Implications of vitamin D status for children’s bone health: A data mining analyses of observational studies. Pesquisa Brasileira em Odontopediatria e Clínica Integrada, 24, e230054. DOI:10.1590/pboci.2024.048.DOI
  18. Chang, C., Mann, D. E. Jr., &amp; Gautieri, R. F. (1977). Teratogenicity of zinc chloride, 1,10-phenanthroline, and a zinc-1,10-phenanthroline complex in mice. Journal of Pharmaceutical Sciences, 66(12), 1755–1758.
  19. Zheng, J., Mao, X., Ling, J., He, Q., &amp; Quan, J. (2014). Low serum levels of zinc, copper, and iron as risk factors for osteoporosis: A meta-analysis. Biological Trace Element Research, 160(1), 15–23.
  20. Falih, N. H., &amp; Alkalby, J. M. A. (2021). Protective effect of zinc sulfate on hypo- and hyperthyroidism induced in adult male rabbits. Basrah Journal of Veterinary Research, 20(2), 1–15.DOI
  21. Mohammed, N. A., El-Malkey, N. F., &amp; Ibrahim, A.-S. A. (2019). Vitamin D3 supplementation ameliorates ovariectomy-induced cardiac apoptotic and structural changes in adult albino rats. Canadian Journal of Physiology and Pharmacology, 97(7), 647–654. https://doi.org/10.1139/cjpp-2018-0674.DOI
  22. Hasan, S., &amp; Al-Rikaby, A. A. (2023). Evaluating the influence of rosemary leaves extract on hormonal and histopathological alterations in male rabbits exposed to cypermethrin. Archives of Razi Institute, 78(3), 797–805. DOI: https://doi.org/10.22092/ari.2022.359859.2487.DOI
  23. Baltaci, A. K., Sunar, F., Mogulkoc, R., Acar, M., &amp; Toy, H. (2014). The effect of zinc deficiency and zinc supplementation on element levels in the bone tissue of ovariectomized rats: Histopathologic changes. Archives of Physiology and Biochemistry, 120(2), 80–85.
  24. Betsy, A., Binitha, M. P., &amp; Sarita, S. (2013). Zinc deficiency associated with hypothyroidism: An overlooked cause of severe alopecia. International Journal of Trichology, 5(1), 40–42. DOI: 10.4103/0974-7753.114714.DOI
  25. Paulazo, M. A., Klecha, A. J., Sterle, H. A., Valli, E., Torti, H., Cayrol, F., Barreiro Arcos, M. L., &amp; Cremaschi, G. A. (2019). Hypothyroidism-related zinc deficiency leads to suppression of T lymphocyte activity. Journal of Endocrinology. DOI : 10.1007/s12020-019-01936-7.DOI
  26. Alcántara-Alonso, V., Alvarez-Salas, E., Matamoros-Trejo, G., &amp; de Gortari, P. (2017). Intrauterine Zn deficiency favors thyrotropin-releasing hormone-increasing effects on thyrotropin serum levels and induces subclinical hypothyroidism in weaned rats. Nutrients, 9(10), 1139. DOI: 10.3390/nu9101139.DOI
  27. Baltaci, A. K., Mogulkoc, R., Bediz, C. S., Kul, A., &amp; Ugur, A. (2003). Pinealectomy and zinc deficiency have opposite effects on thyroid hormones in rats. Endocrine Research, 29(4), 473–481. DOI: 10.1081/ERC-120026953PMC+3.DOI
  28. Arora, M. (2018). Study of trace elements in patients of hypothyroidism with special reference to zinc and copper. Biomedical Journal of Scientific &amp; Technical Research, 6(1), 11–16.DOI: 10.26717/bjstr.2018.06.001336PMC+3.DOI
  29. Venkataraman, P., Sridhar, M., Dhanammal, S., Aruldhas, M. M., &amp; Govindarajulu, P. (2004). Antioxidant role of zinc in PCB (Aroclor 1254) exposed ventral prostate of albino rats. Journal of Nutritional Biochemistry, 15(10), 608–613 DOI: 10.1016/j.jnutbio.2004.06.001.DOI
  30. Šošić-Jurjević, B., Trifunović, S., Živanović, J., Ajdžanović, V., Miler, M., Ristić, N., &amp; Filipović, B. (2022). Vitamin D3 treatment alters thyroid functional morphology in orchidectomized rat model of osteoporosis. International Journal of Health Sciences, 23, 791.DOI: 10.3390/ijms23020791.DOI
  31. Alrefaie, Z., &amp; Awad, H. (2015). Effect of vitamin D3 on thyroid function and de-iodinase 2 expression in diabetic rats. Archives of Physiology and Biochemistry, 121(4), 206–209. DOI: 10.3109/13813455.2015.1107101Europe PMC+4.DOI
  32. Li, H., Xiang, J., Song, Q., Jin, Y., Zhou, M., Fan, L., &amp; Wang, D. (2024). Active vitamin D ameliorates arsenite-induced thyroid dysfunction in Sprague–Dawley rats by inhibiting the Toll-like receptor 4/NF-κB-mediated inflammatory response. Toxics, 12(5), 887.DOI: 10.3390/toxics12120887.DOI
  33. Prasad, A. S. (2017). Trace metals in growth and sexual maturation. In Metabolism of trace metals in man (pp. 79–98).
  34. Beigi, H. A., Dahan, H., Tahmasbpour, E., Bakhtiari, K. H., &amp; Shahriary, A. (2020). Effects of zinc deficiency on impaired spermatogenesis and male infertility: The role of oxidative stress, inflammation, and apoptosis. Human Fertility (Cambridge), 23(1), 5–16. DOI: 10.1080/14647273.2018.1494390.DOI
  35. Croxford, T. P., McCormick, N. H., &amp; Kelleher, S. L. (2011). Moderate zinc deficiency reduces testicular Zip6 and Zip10 abundance and impairs spermatogenesis in mice. The Journal of Nutrition, 141(2), 359–365. DOI: 10.3945/jn.110.131318.DOI
  36. Egwurugwu, J. N., Ifedi, C. U., Uchefuna, R. C., Ezeokafor, E. N., &amp; Alagwu, E. A. (2013). Effects of zinc on male sex hormones and semen quality in rats. Nigerian Journal of Physiological Sciences, 28(1), 17–22.
  37. Omu, A. E., Al-Azemi, M. K., Al-Maghrebi, M., et al. (2015). Molecular basis for the effects of zinc deficiency on spermatogenesis: An experimental study in the Sprague-Dawley rat model. Indian Journal of Urology, 31(1), 57–64. DOI: 10.4103/0970-1591.139570.DOI
  38. Hadwan, M. H., Almashhedy, L. A., &amp; Alsalman, A. S. (2013). The key role of zinc in the enhancement of total antioxidant levels in spermatozoa of patients with asthenozoospermia. American Journal of Molecular and Cellular Biology, 1(3), 52–61.
  39. Bakheet, M., &amp; Almarshad, H. (2014). Improving effect of zinc supplementation in pituitary gonadotropins secretion in smokers. African Journal of Pharmacy and Pharmacology, 8(2), 81–86.
  40. Oliveira, C. E. A., Badú, C. A., Ferreira, W. M., Kamwa, E. B., &amp; Lana, A. M. Q. (2004). Effects of dietary zinc supplementation on spermatic characteristics of rabbit breeders. In Proceedings of the 8th World Rabbit Congress (September 7–10, 2004, Puebla, Mexico).
  41. Baiomy, A. A., Hassanien, H. H. M., &amp; Emam, K. R. S. (2018). Effect of zinc oxide levels supplementation on semen characteristics and fertility rate of bucks rabbits under subtropical conditions. Egyptian Journal of Rabbit Science, 28(2), 395–406.
  42. Adelakun, S. A., Ogunlade, B., Fidelis, O. P., &amp; Omotoso, O. D. (2022). Protective effect of nutritional supplementation of zinc-sulfate against cisplatin induced spermatogonial and testicular dysfunctions in adult male Sprague-Dawley rats. Endocrinology and Metabolic Science, 6, 100116. DOI: 10.1016/j.endmts.2021.100116.DOI
  43. Pilz, S., Frisch, S., Koertke, H., Kuhn, J., Dreier, J., Obermayer-Pietsch, B., Wehr, E., &amp; Zittermann, A. (2011). Effect of vitamin D supplementation on testosterone levels in men. Hormone and Metabolic Research, 43(3), 223–225. DOI: 10.1055/s-0030-1269854.DOI
  44. Chen, Y., &amp; Zhi, X. (2020). Roles of vitamin D in reproductive systems and assisted reproductive technology. Endocrinology, 161(4). DOI: 10.1210/endocr/bqaa023.DOI
  45. Elrashidy, R. A., Zakaria, E. M., Elmaghraby, A. M., Abd El Aziz, R. E. M., Abdelgalil, R. M., Megahed, R. M., Elshiech, A. A., Salama, D. E. A., &amp; Ibrahim, S. E. (2022). Linagliptin and vitamin D3 synergistically rescue testicular steroidogenesis and spermatogenesis in cisplatin-exposed rats: The crosstalk of endoplasmic reticulum stress with NF-κB/iNOS activation. Molecules, 27(22), 7299. DOI: 10.3390/molecules27217299MDPI+3.DOI
  46. Ding, C., Wang, Q., Hao, Y., Ma, X., Wu, L., Du, M., Li, W., Wu, Y., Guo, F., Ma, S., Huang, F., &amp; Qin, G. (2016). Vitamin D supplement improved testicular function in diabetic rats. Biochemical and Biophysical Research Communications, 473(1), 161–167 DOI: 10.1016/j.bbrc.2016.03.072.DOI
  47. Liu, Y., He, Y., Wang, Q., Guo, F., Huang, F., Ji, L., An, T., &amp; Qin, G. (2019). Vitamin supplementation improves testicular function in diabetic rats through peroxisome proliferator-activated receptor γ/transformation growth factor beta 1/nuclear factor–kappa B. Journal of Diabetes Investigation, 10(2), 261–271. DOI: 10.1111/jdi.12886Preprints+2.DOI
  48. Kwun, I. S., Cho, Y. E., Lomeda, R. A., Shin, H. I., Choi, J. Y., Kang, Y. H., &amp; Beattie, J. H. (2010). Zinc deficiency suppresses matrix mineralization and retards osteogenesis transiently with catch-up possibly through Runx2 modulation. Bone, 46(3), 732–741. DOI: 10.1016/j.bone.2009.11.003.DOI
  49. Domazetovic, V., Marcucci, G., Iantomasi, T., Brandi, M. L., &amp; Vincenzini, M. T. (2017). Oxidative stress in bone remodeling: Role of antioxidants. Clinical Cases in Mineral and Bone Metabolism, 14(3), 209–216. doi:10.11138/ ccmbm/2017.14.1.209.DOI
  50. Cho, Y. E., Lomeda, R. A., Ryu, S. H., Sohn, H. Y., Shin, H. I., Beattie, J. H., &amp; Kwun, I. S. (2009). Zinc deficiency negatively affects alkaline phosphatase and the concentration of Ca, Mg and P in rats. Nutrition Research and Practice, 3(2), 113–119. DOI: 10.4162/nrp.2007.1.2.113.DOI
  51. Chou, J., Hao, J., Hatoyama, H., Ben-Nissan, B., Milthorpe, B., &amp; Otsuka, M. (2013). The therapeutic effect on bone mineral formation from biomimetic zinc containing tricalcium phosphate (ZnTCP) in zinc-deficient osteoporotic mice. PLoS ONE, 8(1), e71821. doi:10.1371/journal.pone.0071821.DOI
  52. Zhang, D., Li, Y., Zhu, T., Zhang, F., Yang, Z., &amp; Miao, D. (2011). Zinc supplementation results in improved therapeutic potential of bone marrow-derived mesenchymal stromal cells in a mouse ischemic limb model. Cytotherapy, 13(2), 156–164.10.3109/14653249.2010.512633.DOI
  53. Woeckel, V. J., Alves, R., &amp; Swagemakers, S. (2010). 1Alpha, 25-(OH)₂D₃ acts in the early phase of osteoblast differentiation to enhance mineralization via accelerated production of mature matrix vesicles. Journal of Cellular Physiology, 225(2), 593–600. DOI: 10.1002/jcp.22244.DOI
  54. Elghareeb, M. M., Elshopakey, G. E., Elkhooly, T. A., Salama, B., Samy, A., Bazer, F. W., Elmetwally, M. A., Almutairi, M. H., Aleya, L., Abdel-Daim, M. M., &amp; Rezk, S. (2022). Estradiol and zinc-doped nano hydroxyapatite as therapeutic agents in the prevention of osteoporosis: Oxidative stress status, inflammation, bone turnover, bone mineral density, and histological alterations in ovariectomized rats. Frontiers in Physiology, 13, 989487. DOI: 10.3389/fphys.2022.989487.DOI
  55. Prasad, A. S., Bao, B., Beck, F. W., &amp; Sarkar, F. H. (2011). Zinc-suppressed inflammatory cytokines by induction of A20-mediated inhibition of nuclear factor κB. Nutrition, 27(7-8), 816–823. DOI: 10.1016/j.nut.2010.08.010.DOI