Document Type : Research Paper

Authors

1 Medical labratory technology, Al-Qalam University college

2 veterinary medicine college/ University of sulaymaniyah

3 Department of Animal Science, College of Agricultural Sciences, University of Sulaimani, Iraq

4 College of veterinary Medicine, Kirkuk University, Kirkuk, Iraq

5 Department of Anatomy and Histology, College of Veterinary Medicine, University of Basrah, Basrah, Iraq.

Abstract

The purpose of the study was to investigated the histological effect dietary L-arginine supplementation at 0%, 5%, and 10% above National Research Council recommendations on the testes of 225 male Japanese quail from three genetic lines (white, Brown, and gray). The current study was conducted from December 6, 2022, to July 1, 2023, at the poultry farm of Kirkuk University's animal production department, College of Agriculture. Initially, the Directorate of Agricultural Research-Baghdad. Birds were divided by color into three groups and fed diets containing different arginine levels from age 30 to 90 days. Testes from selected birds were examined histologically after H&E staining. Results showed that 5% arginine (S2) induced significant spermatogenic activity in all groups, with the most notable effect in gray quail (thickened basement membranes, increased spermatogenesis, and fat infiltration). The Brown line showed moderate changes, while the white line exhibited only mild stimulation with no fat infiltration. At 10% arginine (S3), the gray line displayed severe histopathological changes, including basement membrane thickening, Sertoli cell disruption, fat infiltration, and signs of early lipoma formation. The Brown line exhibited signs of hyperplasia, while the white line showed enhanced spermatogenesis and sperm maturation with minimal adverse effects. In conclusion, gray quail were highly sensitive to arginine supplementation, Brown quail showed a moderate response, and white quail demonstrated increased spermatogenic activity with minimal histological damage.

Keywords

Article Title [العربیة]

دراسة نسيجية مرضية للخصى في ثلاثة خطوط وراثية من السمان الياباني المعرضة لجرعات مختلفة من الارجنين

Authors [العربیة]

  • احمد شاكر 1
  • اسراء حميد عبد السادة 2

1 قسم تقنيات المختبرات الطبية، كلية القلم الجامعة، كركوك، العراق

2 كلية الطب البيطري/جامعة السليمانية

Keywords [العربیة]

  • طائر السمان
  • الارجنين
  • الخصى
  • التشريح المرضي
  • عملية تخلق الكائنات المنوية

Introduction

Poultry require the important amino acid L-arginine for a number of physiological functions, such as growth and feathering. Proteins, creatine, polyamines, L-proline, hormones, and nitric oxides are all made possible by it (1) . Nitric oxide, an Arginine metabolite, inhibits the release of Adrenocorticotropic hormone and corticosterone, which is the primary mechanism underlying Arginine's anti-stress effects (2) . In the reactions that produce nitric oxide, which is essential for many physiological functions, including reproduction, Arginine is the only physiological nitrogen donor (3) . Moreover, Arginine is immunological, and healthy meals are necessary to give poultry immunity (4) . The immune-competence of chicks is influenced by the nutrition of their hens (5) . The Arginine requirement set by the National Research Council (NRC) is for laying quails, which might not promote breeder quail hatchability and reproductive performance. It has been demonstrated that giving birds more Arginine in their food than the National Research Council (NRC) recommends will improve their cellular immunity and possibly increase the transmission of antibodies to their progeny (7) .

During the production phase, male and female Japanese quails can be distinguished from one another starting at 35 days of age (8) The peak levels of estrogen and testosterone are observed between 8 and 10 weeks of age, signifying the full maturation of a seminiferous tubule quail reproductive parameters were determined by (10) , with the exception of semen ejaculate volume, and cloacal gland area. When compared to a control diet, cloacal gland area and ejaculate volume showed a substantial improvement of 18% in crude protein level (11) .In order to create diets for quails that are based on the optimum protein concept, it is critical to understand the sufficient nutritional needs of crude protein (12) . The aim of the study was to evaluate the effect of adding different levels of L-arginine in the diet and study the impact of those percentages on the testicles in quail.

Materials and Methods

Management and Feeding

All experimental procedures involving the care and use of animals in this study were approved by the appropriate authority. The current study was conducted from December 6, 2022, to July 1, 2023, at the poultry farm of Kirkuk University's animal production department, College of Agriculture. Initially, the Directorate of Agricultural Research-Baghdad provided (225) male Japanese quail at 30 days of age (white=75, Brown=75, and gray= 75). The chicks were grown in battery cages with one male per cage and water tanks. The birds received 15 hrs. of light per day, and diet and fresh water were made available ad libitum. Birds were fed production feed that included (CP=24%, ME=2900) (5). All experimental birds received the same diet formulated with different amounts of L-arginine until they reached 90 days old. The purpose of the study was to ascertain the impact of supplementing the Japanese quail's diet with varying amounts of L-arginine.

Test groups and histopathological techniques

Birds were classified into three basic groups based on their genetic lines: white, Brown, and gray. Each line was divided into three groups, with 25 birds for each color category. And supplemented with arginine concentrations 0%, 5%, and 10% times the quail requirements per National Research Council recommendation. Supplement group 1 (S1) was the control group, receiving 0 percent of arginine. Supplement group 2 (S2) was given 5 percent arginine, and Supplement group 3 (S3) received 10 percent arginine. At the end of the study, when the birds reached 90 days of age, ten male birds from each group were randomly selected and slaughtered. Necropsy was performed to extract the testes. Small sections were dissected and immediately preserved in 10% formalin. All samples were then submitted to traditional histological processing techniques. Histological slides were prepared and stained by Hematoxylin and Eosin stain (13) . Using a micro camera mounted on an Olympus BX-51 microscope, photomicrographs were taken, and KS 400.3 software was used to digitize the pictures.

Result

In this experiment, we tested the effect of three different supplement doses of arginine (S1, S2, S3). S1(Control group 0%), S2 (5%) ,and S3 (10%) on the testes of three genetic lines of quail birds white, Brown, and grey. Testes slides showed a blunt contrast between the experimental groups and control groups.

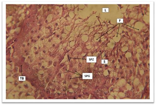
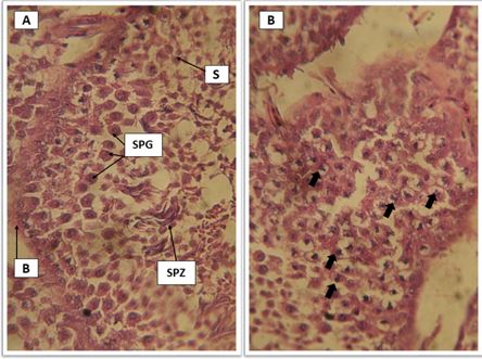
The control groups (S1) show the normal architectures of the testes for all line breeds (Figure 1,2,3) normal group-1-white, normal group-2-Brown, and normal group-3-Ggray, all of the figures revealing the normal histological architecture of seminiferous tubule. Which (H&E) staining, 400X, normal basement membrane, Sertoli cells(S), spermatozoa, spermatogonia cells, and the lumen.

Figure (1).

Figure (2).

Figure (3).

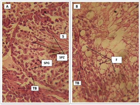
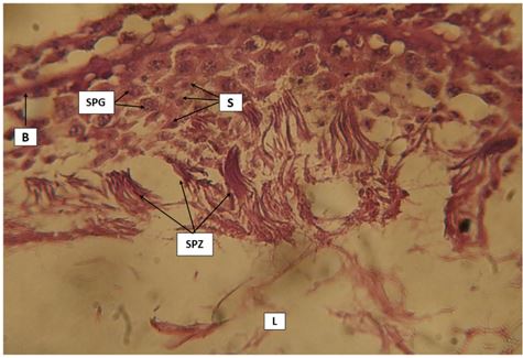
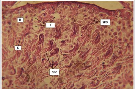
The Supplement group (S2) exhibited variable pathological effects of arginine on the testicular tissue across the three genetic lines.", where it exhibited a highly significant effect on the gray line represented by a thickening of basement membrane (TB), moderately increasing spermatogenesis (SPG) and in another field (B) there is infiltration of fat cells (f) among spermatogonic cells, and thickening of the basement membrane, (Figure 6). In addition Brown line presented in (figure 5) moderately increases spermatogenesis process (SPG) and in another field (B) there is infiltration of fat cells (f) among spermatogonic cells. In (Figure 4) the effect of arginine on testes tissue in the white line was notably diminished, the figure revealing increasing spermatogenesis SPG and in another field (B) there is initiation of meiosis Brown arrow, and no infiltration of fat cells among the germinal stem cells. This led us to say the S2 5% of arginine treatment dose had a strong significant effect on the gray color and medium-intensity effect on the Brown line, while it had little effect on the white line. On the contrary, it was a good stimulant for the germinal stem cell of sperms.

Figure (4).

Figure (5).

Figure (6).

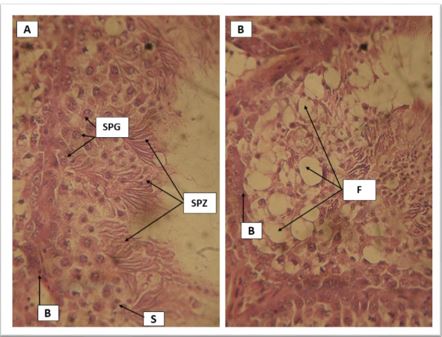
The Supplement group (S3) displays a severe significant effect on the gray line as presented in Figure 9, which demonstrated the onset of lipoma in the testes of this line, as shown by the spermatogonia cells appearing in a condition of karyohexis SPG in conjunction with a severe drop in adult spermatozoa (SPZ), Sertoli cell (S), and basement membrane thickness (TB) hyperplasia of the cell lining. (Figure 8) exhibited basement membrane thickness (TB) hyperplasia of cell lining, which may cause a start point of cancer as well as increasing spermatogenesis SPG with clear meiosis in line with increased in adult spermatozoa (SPZ), Sertoli cell (S), with little fat infiltration (F) can be seen in Brown line color. Meanwhile, in Figure 7 the figure 10% arginine –white line, showed a small thickness of basement membrane (B), highly increasing spermatogenesis SPG in line with highly increased in adult spermatozoa (SPZ), both occupied seminiferous tubule lumen, Sertoli cell (S), with little fat infiltration (F) can be seen. The study fiund that between the three-color line of the quail birds, the gray line color was the most sensitive to the arginine supplement in both doses and moderate effect for the Brown color line and no significant or a very low significant effect for both doses of arginine supplement on the white color line.

Figure (7).

Figure (8).

Figure (9).

Discussion

In this experiment, we test the effect of three different supplement doses of arginine (S1, S2, S3). S1(Control group 0%), S2 (5%), and S3 (10%) body weight on the testes of three genetic lines of quail birds white, Brown, and grey. Test slides showed a blunt contrast between the experimental groups and control groups. It was clear that long-term intake of 10% L-arginine supplementation for 12 weeks mixed with the feed in males of three genetic lines of quail birds were suffering from severe-to-moderate damage in testicular tissue and dysfunction of spermatogenesis process as well as increasing infiltration of fat tissues among the germinal stem cells of spermatozoa, and this predicts in the future on the formation of some fatty cancers such as lipoma which may develop from infiltration of adipocytes of the scrotum (14) (15) . The results showed, that arginine had a progressive effect on all reproductive traits in

the male white breed, which is agreed with the findings of (16) ; (17). It is commonly recognized that l-arginine increases the rate of the testosterone which plays a significant role in the process of spermatogenesis and in maintaining spermatogenesis in the testis. (18) (19) .

The researcher (20) reported that a decrease in the proportion of spermatogenic tubules in testicular tissue and negative spermatogenesis coefficient might potentially cause disruptions to cell division, ultimately impairing spermatogenesis' ability to function. Given that spermatozoa release from sperm storage tubules is a prerequisite for fertilization in avian species, both active ciliary movement and the structural integrity of glandular cells are critical (20) . Between the germ cells, vacuole development was seen (Fig. 9). Actually, these vacuoles are related to the accumulation of the fat cells and can be one of the indicators of apoptosis as they can show a decrease in adhesion molecules like a loss of cell connections (21).

The study was in the contract about the use of high doses of L-arginine or other types of amino acids such as L-valine in the diet was a principal cause of histopathological damage to testicular tissue in quails. In male Japanese quails, the amount of protein in the diet had an impact on testicular and body growth but not on reproductive efficiency (22) ; (23) . Rapid body development throughout the growth period is closely linked to the development of reproductive organs (24). Thus, the availability of amino acids at this stage might impact the growth of birds.in our study, the effect of l-arginine level on the testicular basement membrane, epithelium cell thickness, and the increase of Sertoli cells and spermatogonia were not associated with increases in the sperm concentration of the birds. (23) . In male Japanese quails, the amount of protein in the diet had an impact on testicular and body development but not on reproductive efficiency. Rapid body development throughout the growth period is closely linked to the development of reproductive organs (25) . Thus, the availability of amino acids at this stage might impact the growth of birds. The data obtained suggest that breeder quails may require less protein in their diet between the ages of one and forty-two days. In addition to a diet low in protein attentive to the genetic line color because grey and Brown color lines were most sensitive to the high level of arginine meanwhile the white color revealed it was less sensitive and in contrast, this level of arginine could enhance of reproductive activity in this line.

Conclusion

The present trial demonstrated that long-term consumption of 5% and 10% doses of L-arginine for a long period of time in quail male birds will cause mild-to-sever testicular damage on Brown and gray line color respectively and no or low significant effects of L-arginine on the white line color, Therefore, our proposal is to determining the genetic line regarding the uses of the L-arginine supplement where it was deemed more useful in white line breed, and being very caution and avoiding of high doses of arginine supplement for other genetic lines such as gray and Brown or brown genetic line.

Conflicts of interest

The authors declare that there is no conflict of interest.

Ethical Clearance

This work is approved by The Research Ethical Committee.

References

  1. Fathima, S., Al Hakeem, W.G., Selvaraj, R.K., & Shanmugasundaram, R. (2024). Beyond protein synthesis: the emerging role of arginine in poultry nutrition and host-microbe interactions. Frontiers in Physiology. 14, 1326809. DOI: https://doi.org/10.3389/fphys.2023.1326809.DOI
  2. Monau, T.R., Vargas, V.E., Zhang, L., Myers, D.A., & Ducsay, C.A. (2010). Nitric oxide inhibits ACTH-induced cortisol production in near-term, long-term hypoxic ovine fetal adrenocortical cells. Reproductive Sciences. 17, 955–62. DOI: https://doi.org/10.1177/1933719110376092.DOI
  3. Khan, M., Ali, S., Al Azzawi, T.N.I., & Yun, B.W. (2023). Nitric oxide acts as a key signaling molecule in plant development under stressful conditions. International journal of molecular sciences. 24(5), 4782. DOI: https://doi.org/10.3390/ijms24054782.DOI
  4. Murakami, A., da Silva, L., Fernandes, J., Silveira, T., & Garcez Neto, A. (2014). The effect of arginine dietary supplementation in broiler breeder hens on offspring humoral and cell-mediated immune responses. Brazilian Journal of Poultry Science. 16, 63–72. DOI: https://doi.org/10.1590/1516-635x160263-72.DOI
  5. Shaker, A.S., Mohammed, A.K., & Razuki, W.M. (2023). Estimation of genetic parameters for egg production traits in Japanese quail that selected for immune responses and fed different level of dietary L-arginine. Kirkuk university journal for agricultural sciences. 14(1):73–81. DOI: https://doi.org/10.58928/ku23.14106.DOI
  6. Shaker, A.S., Mohammed, A.K., Razuki, W. M., Hermiz, H.N., Ameen, Q.A., Al-Obaidi, R.M. (2024). Estimation of genetic parameters for body weight in different periods of Japanese quail that selected for immune responses and fed different levels of dietary L-arginine. Dijlah Journal of Agricultural Sciences. 2(2), 1–7.
  7. Uyanga, V.A., Xin, Q., Sun, M., Zhao, J., Wang, X., & Jiao, H. (2022). Effects of dietary L-arginine on the production performance and gene expression of reproductive hormones in laying hens fed low crude protein diets. Poultry Science. 101(5), 101816. DOI: https://doi.org/10.1016/j.psj.2022.101816.DOI
  8. Vieira Filho, J.A., Garcia, E.A., Molino, A. de B., Santos, T.A dos., Paz, IC de LA, Baldo, G.A de A. (2016). Produtividade de codornas japonesas em função do peso corporal ao final da fase de recria. Acta Scientiarum Animal Sciences. 38, 213–7. DOI: https://doi.org/10.4025/actascianimsci.v38i2.29858.DOI
  9. Renault, C.H., Aksglaede, L., Wøjdemann, D., Hansen, A.B., Jensen, R.B., & Juul, A. (2020). Minipuberty of human infancy A window of opportunity to evaluate hypogonadism and differences of sex development. Ann Pediatr Endocrinol Metab. 25(2), 84–91. DOI: https://doi.org/10.6065/apem.2040094.047.DOI
  10. Hanafy, A., & Attia, F. (2018). Productive and reproductive responses of breeder Japanese quails to different dietary crude protein and L-Valine levels. Egyptian Poultry Science Journal. 38(3), 735–53. DOI: https://doi.org/10.21608/epsj.2018.17102.DOI
  11. Hounkpêvi, J., Adjei-Mensah, B., Parobali, T., Tona, K., Koutinhouin, B., & Pitala, W. (2024). Photoperiod manipulation corrects the negative effect of low dietary crude protein levels during weeks 12 to 26 on bone quality and fertility of male Guinea fowl (Numida meleagris). Poultry Science. 103(7),103743. DOI: https://doi.org/10.1016/j.psj.2024.103743.DOI
  12. Jesuyon, O., Aganga, A., Orunmuyi, M., & Falade, G. (2021). Effect of dietary protein level on egg production and egg-quality characteristics of Japanese quail (Coturnix coturnix japonica) in the tropical environment.. Animal Production Science 62, 1430-1438. https://doi.org/10.1071/AN20399.DOI
  13. Luna, L.G. (1968) Manual of histologic staining methods of the Armed Forces Institute of Pathology. 3rd Edition, McGraw-Hill, New York.
  14. Zoller, G., Cavoizy J, Devaux L, Hahn H, Nicolier A, Huynh M. (2019). Multiple Infiltrative Intraosseous Lipomas in the Appendicular Skeleton of a Rose-breasted Cockatoo (Eolophus roseicapilla) with a Humeral Fracture. Journal of Avian Medicine and Surgery. 33(1):65–71. DOI: https://doi.org/10.1016/j.psj.2024.103743.DOI
  15. Oliveira-Filho, H.S., Duarte, J.L., Paranhos, G.F., Oliveira, R.L., Farias, R.C., & Araújo, J.L de. (2023). Clinical and anatomopathological findings of lipid-related lesions in wild and pet birds from the State of Paraíba, Northeastern Brazil. Pesquisa Veterinária Brasileira. 43, e07296. DOI: https://doi.org/10.1590/1678-5150-PVB-7296.DOI
  16. Ahangar, M., Asadzadeh, S., Rezaeipour, V., & Zareh, S.A. (2017). Effects of L-Arginine supplementation on semen quality, testosterone concentration and testes histological parameters of Ross 308 breeder roosters. Asian Pacific Journal of Reproduction. 6(3), 133–5. DOI: https://doi.org/10.12980/apjr.6.20170307.DOI
  17. Abbaspour, B., Sharifi, S.D., Ghazanfari, S., Honarbakhsh, S., & Mohammadi-Sangcheshmeh, A. (2019). The effect of l-arginine and flaxseed on plasma testosterone concentration, semen quality and some testicular histology parameters in old broiler breeder roosters. Theriogenology. 128, 101–9. DOI: https://doi.org/10.1016/j.theriogenology.2019.01.034.DOI
  18. Funahashi, H. (2002). Induction of capacitation and the acrosome reaction of boar spermatozoa by L-arginine and nitric oxide synthesis associated with the anion transport system. REPRODUCTION-CAMBRIDGE. 124(6), 857–64.
  19. Roy, S., & Atreja, S. (2008). Tyrosine phosphorylation of a 38‐kDa capacitation‐associated buffalo (Bubalus bubalis) sperm protein is induced by L‐arginine and regulated through a cAMP/PKA‐independent pathway. International journal of andrology. 31(1), 12–24. DOI: https://doi.org/10.1111/j.1365-2605.2007.00745.x.DOI
  20. Zamir-Nasta, T., Pazhouhi, M., Ghanbari, A., Abdolmaleki, A., & Jalili, C. (2021). Expression of cyclin D1, p21, and estrogen receptor alpha in aflatoxin G1-induced disturbance in testicular tissue of albino mice. Research in Pharmaceutical Sciences. 16(2),182–92. DOI: https://doi.org/10.4103/1735-5362.310525.DOI
  21. Ghasemi, F.M., Faghani, M., Khajehjahromi, S., Bahadori, M., Nasiri, E., (2010). Hemadi, M. Effect of melatonin on proliferative activity and apoptosis in spermatogenic cells in mouse under chemotherapy. Journal of Reproduction and Contraception. 21(2), 79–94. DOI: https://doi.org/10.1016/S1001-7844(10)60016-8.DOI
  22. Retes, P.L., das Neves, D.G., Bernardes, L.F., Alves, V.V., de Castro Gonçalves, N., & de Rezende Lima, D. (2022). Dietary crude protein levels during growth phase affects reproductive characteristics but not reproductive efficiency of adult male Japanese quails. Animal bioscience. 35(3), 385. DOI: https://doi.org/10.5713/ab.21.0060.DOI
  23. Retes, P.L., das Neves, D.G., Bernardes, L.F., de Rezende Lima, D., Ribeiro, C.B., & de Castro Gonçalves, N. (2019).Reproductive characteristics of male and female Japanese quails (Coturnix coturnix japonica) fed diets with different levels of crude protein during the growth and production phases. Livestock Science. 223, 124–32. DOI: https://doi.org/10.1016/j.livsci.2019.03.011.DOI
  24. Sarabia Fragoso, J., Pizarro Díaz, M., Abad Moreno, J., Casanovas Infesta, P., Rodriguez‐Bertos, A., & Barger, K. (2013). Relationships between fertility and some parameters in male broiler breeders (body and testicular weight, histology and immunohistochemistry of testes, spermatogenesis and hormonal levels). Reproduction in Domestic Animals. 48(2), 45–52. DOI: https://doi.org/10.1111/j.1439-0531.2012.02161.x.DOI
  25. Rashidi, A., Sharifi, S.D., Alizadeh, A., & Najafi, A. (2023). The histological and pathological changes of liver and testis of Japanese quails fed different levels of dietary L-valine. Vet Anim Sci. 21,100302. DOI: https://doi.org/10.1016/j.vas.2023.100302.DOI