Document Type : Research Paper

Authors

1 College of Pharmacy, University of Basra, Basra, Iraq

2 Department of pharmacology and toxicology, college of pharmacy, Basrah University, basra, Iraq

3 Department of pharmacology and toxicology, college of pharmacy, Basrah University, Basra, Iraq

Abstract

Hibiscus sabdariffa L. calyces (H. sabdariffa), widely consumed as a herbal tea, are recognized for their rich content of antioxidant phytochemicals and associated therapeutic properties. This study aimed to evaluate the potential protective effects of H. sabdariffa extract on thyroid function under conditions of oxidative stress induced by chlorpyrifos (CPF) exposure. A total of thirty rats were randomly assigned to five groups. The control group (G1) received no treatment. Group (G2) was administered CPF at a dose of 10 mg/kg/day. Groups (G3) and (G4) received H. sabdariffa extract at doses of 250 mg/kg and 750 mg/kg, respectively, in combination with CPF. Group (G5) received vitamin C at a dose of 100 mg/kg along with CPF. All treatments were administered orally for 28 days. At the end of the experimental period, blood samples were collected to assess serum levels of thyroid-stimulating hormone (TSH), triiodothyronine (T3), and thyroxine (T4). Additionally, thyroid tissues were collected for histopathological examination. The results demonstrated that groups G3, G4, and G5 exhibited no significant alterations in thyroid hormone levels compared to the control group, whereas G2 showed a significant reduction in T3, T4, and TSH levels. Histological findings further supported these results, revealing notable improvements in thyroid architecture compared to G2. In conclusion, the findings suggest that H. sabdariffa extract exerts a protective effect against CPF-induced oxidative damage to the thyroid gland. Its efficacy was comparable to that of vitamin C. Moreover, no significant difference was observed between the two administered doses of H. sabdariffa extract.
 

Keywords

Article Title [العربیة]

التأثيرات الوقائية لنبات الكركديه ضد خلل الغدة الدرقية الناتج عن الكلوربيريفوس: دراسة مقارنة لفعالية مضادات الأكسدة

Authors [العربیة]

  • مرتضى عصام 1
  • محسن صغير 2
  • اسيا عبد الله 3

1 كلية الصيدلة, جامعة اليبصرة, البصرة, العراق

2 فرع الادوية والسموم, كلية الصيدلة, جامعة البصرة, البصرة, العراق

3 فرع الادوية والسموم, كلية الصيدلة, جامعة البصرة, البصرة , العراق

Abstract [العربیة]

تُعتبر الكؤوس الزهرية لنبات الكركديه (Hibiscus sabdariffa L.)، المستخدمة عادةً كشاي، ذات قيمة لمحتواها من المركبات النباتية المضادة للأكسدة وفوائدها الصحية. تبحث هذه الدراسة في التأثير الوقائي لمستخلص الكركديه على وظيفة الغدة الدرقية تحت الإجهاد التأكسدي الناتج عن التعرض لمبيد الآفات كلوربيريفوس (CPF). تم تقسيم ثلاثين جرذًا إلى خمس مجموعات: المجموعة G1 كضابطة، المجموعة G2 تناولت CPF بجرعة 10 ملغ/كغ/يوم، المجموعتان G3 وG4 تلقتا مستخلص H. sabdariffa بجرعات 250 و750 ملغ/كغ، والمجموعة G5 أعطيت فيتامين C بجرعة 100 ملغ/كغ، مع تعرض G3 وG4 وG5 أيضًا لـ CPF بنفس جرعة G2. استمرت الجرعات الفموية لمدة 28 يومًا، ثم قُيمت مستويات مصل TSH وT3 وT4، وجُمعت عينات الغدة الدرقية للتحليل النسيجي. أوضحت النتائج عدم تغير مستويات هرمونات T3، T4، وTSH في G3 وG4 مقارنةً بـ G1 وG5، بينما سجلت G2 انخفاضًا كبيرًا. دعم الفحص النسيجي هذه النتائج، مبينًا تحسنًا في أنسجة الغدة الدرقية لـ G3 وG4 مقابل G2. تشير النتائج إلى أن H. sabdariffa قد يقي الغدة الدرقية من الإجهاد التأكسدي الناتج عن CPF، مما يُظهر فعالية مضادة للأكسدة مشابهة لفيتامين C دون تباين بين جرعتيه.

Keywords [العربیة]

  • مستخلص الكأس، الكركديه
  • الغدة الدرقية

Introduction

Herbal medicine has been a respected healing practice for centuries and remains widely used today. Its natural compounds promote health, and due to their proven benefits, safety, affordability, and accessibility, herbal treatments are valuable in both traditional and modern healthcare systems ( 1 ). One of the most significant plants in this context is H. sabdariffa, a member of the Malvaceae family, which encompasses over 300 species ( 2 ). This remarkable plant has been utilized for over 3,000 years, both as a source of nourishment and as a therapeutic remedy ( 3 ). It is believed to be native to West Africa, particularly western Sudan, although some scholars argue that its origins may lie in India. Today, this species is extensively cultivated in tropical regions worldwide, including Arab nations such as Saudi Arabia, Sudan, and Egypt, as well as in various other countries such as Mexico, India, the Philippines, China, Thailand, and many others ( 4 ). This plant is known by a variety of names across different regions, including Sour Tea, Gujarat, Karkade, Roselle, Bissap, and Red Sorrel ( 5 ). Calyces, with their elevated bioactive compound concentration, are the most exploited plant component. Consequently, these calyces serve as the primary raw material in the formulation of the renowned tea ( 6 ). They are rich in phytochemicals, especially polyphenolic compounds such as flavonoids and phenolic acids. Additionally, they contain organic acids, vitamins, minerals, and essential nutrients (carbohydrates, proteins, and fats), providing approximately 49 calories per 100 grams ( 7 ).

Anthocyanidin, the main flavonoid in H. sabdariffa calyces, gives the extract its deep red color ( 8 ). This water-soluble pigment is packed with beneficial compounds and is safe even at high doses ( 9 ). They are primarily found as glycosides, notably delphinidin-3-O-sambubioside (hibiscin) and cyanidin-3-O-sambubioside (gossypicyanin) ( 10 ). Anthocyanins contribute to the potent antioxidant properties observed, effectively neutralizing free radicals, chelating metals, and other pro-oxidant agents. These capacities originate from the unique structural features of polyphenolic compounds, which facilitate the rapid donation of hydrogen atoms (electrons), thereby stabilizing reactive species ( 11 ).

Much research has dealt with the therapeutic uses of H. sabdariffa, including cardioprotective ( 12 ), prevention and treatment of high blood lipids ( 13 ), as a vasodilator ( 14 ), exhibits diuretic effects ( 15 ), hepatoprotective ( 16 ), antidiabetic ( 17 ), neuroprotective ( 18 ), improve hematological parameters ( 19 ), decreased risk of overweight and obesity, ( 20 ), stimulate insulin secretion and inhibit glucagon secretion ( 21 ), anti-inflammatory ( 22 ), and antioxidant properties ( 23 ).

Chlorpyrifos irreversibly inhibits acetylcholinesterase, leading to accumulation of acetylcholine at nerve endings and neuromuscular junctions, which is associated with neurotoxicity ( 24 ). Moreover, CPF inflicts cellular damage through the induction of oxidative stress (OS) ( 25 ). This OS may result from either an increased production of Reactive Oxygen Species (ROS) ( 26 )or a diminished Antioxidant System Capacity ( 27 ). In either case, the intracellular accumulation of ROS adversely affects cellular function and can ultimately lead to carcinogenesis or cell death ( 28 ). The antioxidant system (AOS) removes excess ROS from various sources and plays a crucial role in preserving cellular vitality against potential damage induced by OS ( 29 ). Therefore, it has become essential to enhance this system and support its functions. In this context, natural extracts rich in antioxidants play a crucial role ( 30 ), with H. sabdariffa extract being one of the most significant.

This study's objective was to assess the antioxidant properties of an H. sabdariffa extract prepared using traditional methods and examine its potential to shield the thyroid gland from CPF-induced oxidative damage. Moreover, the mitigation effects were compared with those of vitamin C.

Materials and Methods

Materials:

Vitamin C, Chlorpyrifos, and Dried calyces of H. sabdariffa were bought from the local Ashar market in Basrah state, Iraq.

The kit that was used to examine the T3, T4, and TSH in the rat serum was purchased from Sunlong Biotech CO., Ltd., China.

Animal handling.

The experiment commenced with 30 adult male rats (weighing 175-200 g) purchased from an animal house farm in Tikrit, Iraq. After the rats arrived at the animal house, they were kept in plastic cages prepared earlier with wooden chips and a 24-hour free source of drinking water and food. The temperature maintained in the animal's house is between 20 and 24 Cº. The weights of the rats were measured weekly, beginning one day before the start of the treatments, until the completion of the experiment period, as shown in Figure 1 ( 31 ). Following a two-week adaptation period, rats were divided randomly into five groups, each consisting of six rats. All treatments are given orally and continue for 28 days, as shown in Table 1.

Figure 1. The mean weight of rats increased across all groups during the experiment period.

Group name Group type Group treatment Dose reference
G1 Negative control Receive no treatment, only food and water
G2 toxic control Receive CPF 10 mg/kg/day. (34)
G3 Experiment group Receive H. sabdariffa extract 250 mg/kg/day + CPF 10 mg/kg/day. (35)
G4 Experiment group Receive H. sabdariffa extract 750 mg/kg/day + CPF 10 mg/kg/day. (36)
G5 antioxidant treatment group Receive Vit C 100 mg/kg/day + CPF 10 mg/kg/day. (37)
CPF (chlorpyrifos), Vit C (vitamin C).
Table 1.Group design dividing the rats (30 rats) into 5 groups (each group has six rats), the dosing is given orally and continues for 28 days.

The animals are handled according to ethical principles of the International Ethical Guidance for Health-related research involving humans or animals, prepared by the Council of International Organizations of Medical Science (CIOMC) in collaboration with the World Health Organization (WHO), and following the framework of the Office International des Epizootic (OIE) principles. Authorized by the University of Basra/College of Pharmacy in Approval number EC50 on 1/9/2023

Aqueous extract of H. sabdariffa preparation:

The aqueous extract of H. sabdariffa was prepared using the traditional method commonly employed by the general public to make hibiscus tea. Dried calyces were soaked in hot water and left to steep for 1–2 hours ( 32 ). Afterward, the infusion was filtered to separate the liquid from the wet calyces. The solution was then concentrated by evaporating the water in a water bath maintained at a temperature not exceeding 70 °C until a dark red residue was obtained ( 33 ).

After weighing the resulting precipitate, an appropriate volume of water is added based on the ' 'residue's weight to achieve the desired weight/volume (w/v) concentration. This procedure ensures the preparation of a solution containing the required amount of H sabdariffa extract per milliliter for oral administration to the rats in groups G3 and G4.

The doses are freshly prepared each day and carefully transferred to the animal housing facility in black glass dropper bottles, each clearly labeled with its specific concentration. The solutions are then administered to the rats by oral gavage using a 1 mL syringe.

Serum sampling

After the 28-day trial, rats were sacrificed for blood samples, which were centrifuged at 5000 RPM for 20 minutes. The serum was stored at -20 °C until the testing process was conducted.

Biochemical analysis

Serum levels of thyroid-stimulating hormone (TSH), triiodothyronine (T3), and thyroxine (T4) were analyzed by the Enzyme-linked Immunosorbent Assay (ELISA) method.

Tissue Sampling.

Tissue samples were obtained from the thyroid gland, and all collected samples were washed with normal saline and fixed in a 10% formaldehyde solution. They were dehydrated with ethanol and cleared with xylene to allow paraffin infiltration at 60°C. After cooling to 20°C, the solid block was cut into thin sections (4-6 µm) and placed on glass slides for Hematoxylin and Eosin staining ( 38 ).

Statistical analysis

The analysis of the results was performed using IBM's SPSS software, specifically employing One-Way Analysis of Variance (ANOVA) in conjunction with the Tukey Post-Hoc Test to evaluate mean differences among multiple groups. A p-value of less than 0.05 was established to indicate the presence of statistically significant differences between groups. The data are presented as mean ± SE (Standard Error of the Mean) ( 27 ).

Results

Rats' Weight Throughout Experiment Periods.

No statistically significant differences in 'rats' weight were observed among the groups at the beginning and the end of the experiment, as shown in Figure 1.

The Thyroid Protection Effect of HBSC Extract:

There is no statistically significant difference in (T3, T4, and TSH) levels between the G3 and G4 groups when compared to the control group (G1), nor when compared to the G5 group. In contrast, a significant decrease in these hormone levels in the G2 group relative to all other groups (G1, G3, G4, and G5). Furthermore, no significant differences in hormone levels were found between the G3 and G4 groups. The G5 group also did not exhibit any significant difference from the control group (G1). These findings are illustrated in Figures 2, 3 , and 4.

Figure 2.Only group G2 showed a significant reduction in TSH level below other groups, while other groups (G1, G3, G4, and G5) showed no significant differences between them. Expressed values as mean ± SEM, (*) indicating p-value <0.05.

Figure 3. Only group G2 showed a significant reduction in T4 level below other groups, while other groups (G1, G3, G4, and G5) showed no significant differences between them. Expressed values as mean ± SEM, (**) indicating p-value <0.05.

Figure 4.Only group G2 showed a significant reduction in T3 level below other groups, while other groups (G1, G3, G4, and G5) showed no significant differences between them. Expressed values as mean ± SEM, (**) indicating p-value <0.05.

Histopathological study of thyroid section:

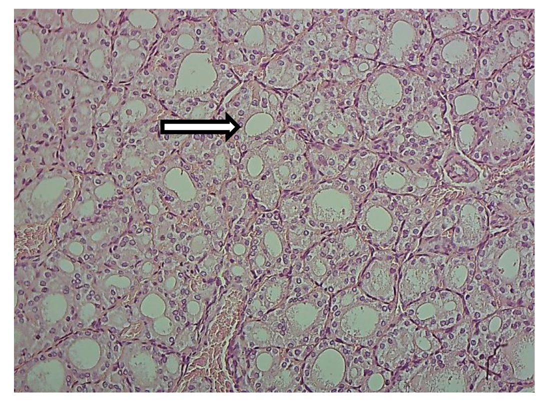
Figures 5, 6, 7, 8 , and 9 present light micrographs of the thyroid gland tissue samples stained with hematoxylin and eosin (H& E) at a magnification of 40X. Figure 5 illustrates the thyroid architecture of group G1 (control). The thyroid follicles in this group exhibit a normal parenchymal structure, characterized by intact, circular or oval shapes that vary in size, are filled with colloid, and are surrounded by a thin layer of cuboidal epithelial cells.

Figure 5.

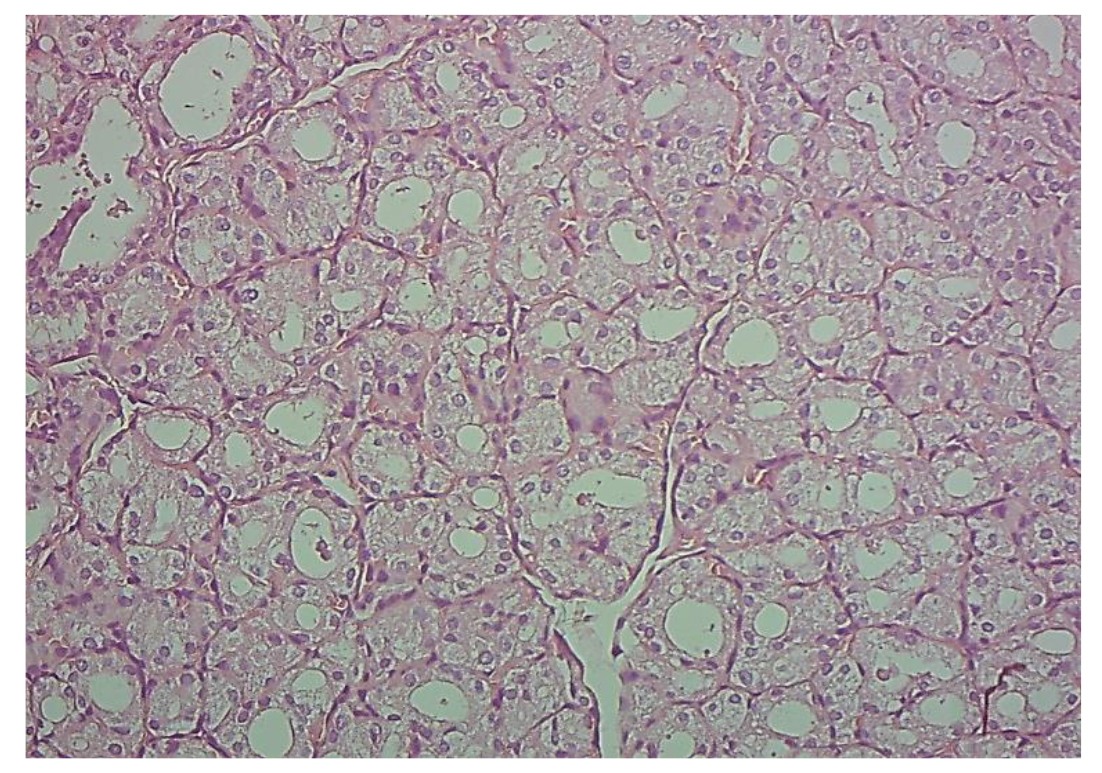
Figure 6.

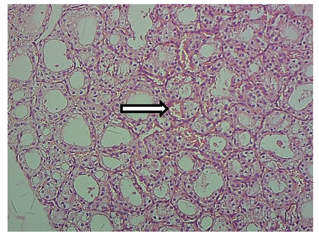
Figure 7.

Figure 8.

Figure 9.

In contrast, Figure 6 depicts the thyroid sample from group G2, which exhibited significant destructive alterations in the thyroid parenchyma, evidenced by irregularly shaped follicles, a high proportion of follicle lumens with diminished or diffuse colloid, and some empty lumens encircled by a single layer of flattened cells.

Furthermore, degenerative changes were observed in the connective tissue within the interfollicular spaces. Figure 7 shows the thyroid section from group G3, indicating a restoration of the architectural integrity of the thyroid follicles, which were filled with colloid and lined by a cuboidal epithelial layer. Figure 8 presents the thyroid sample from group G4, revealing some thyroid follicles filled with colloid, alongside evidence of some hemorrhage. Finally, Figure 9 illustrates the thyroid tissue from group G5, demonstrating normal thyroid follicles filled with colloid.

Discussion

Hormonal levels analysis obtained from the G2 group, which was administered CPF, showed a significant reduction in T3 and T4 hormone levels relative to group G1 (which serves as the criterion for comparison). This finding suggests that the oxidative stress induced by CPF has led to direct dysfunction of the thyroid cells, resulting in decreased T3 and T4. Furthermore, the results indicate that TSH levels secreted by the pituitary gland are also significantly lower in G2 compared to G1. This is the opposite of what is expected, that TSH would increase in response to the feedback mechanism triggered by the decreased levels of T3 and T4. This observation may indicate that the pituitary gland has sustained damage due to oxidative stress or that the thyrotropin-releasing hormone (TRH) from the hypothalamus has diminished as a result of hypothalamic impairment, ultimately leading to a reduction in TSH secretion by the pituitary gland. Regardless of the underlying mechanism of the defect observed in the G2 group, it is established that oxidative stress is the causative factor. The findings align with a previous study, which indicated that CPF use induces oxidative stress in rats and results in decreased serum (T3, T4, and TSH) hormone levels ( 39 ).

Notably, the incorporation of vitamin C as a protective agent for the G5 group has nearly restored the measurements to the standard levels found in the G1 group, resulting in no significant differences in the readings of (TSH, T3, and T4). These results align with what was found, that vitamin C, when used as an antioxidant, can restore thyroid hormone levels to normal and protect the structure of thyroid tissue ( 40 ).

Analysis of the data from groups G3 and G4 indicates that H.sabdariffa extract exhibits antioxidant activity comparable to that of vitamin C, effectively mitigating oxidative stress induced by chlorpyrifos (CPF). Hormonal measurements of TSH, T3, and T4 in these two groups show no significant differences when compared to the G5 group, which received vitamin C. Notably, the H. sabdariffa extract appears to normalize hormone levels in G3 and G4, bringing them closer to the baseline values observed in the control group (G1). This effect may be attributed to the presence of various bioactive constituents in the extract—such as phenolic acids, flavonoids, and organic acids—which are known for their potent antioxidant properties, like those of vitamin C.

These results align with the previous findings regarding the effectiveness of H. sabdariffa as a powerful antioxidant against oxidative stress ( 41 ). The findings related to hormone measurement indicate that there are no significant differences observed between G3 and G4 when the dosage is increased from 250 mg/kg to 750 mg/kg, which indicates the effectiveness of the extract even in low concentrations.

The above hormone analyses are consistent with the findings obtained from the histological examination of the thyroid gland. The G2 group exhibits considerable destruction of the gland's functional tissues, attributable to oxidative stress induced by CPF. This also occurred when CPF was used by El-Kerdasy and caused oxidative damage to the thyroid gland structure ( 42 ).

The administration of a powerful antioxidant, specifically vitamin C, markedly mitigates the damage linked to CPF in Group G5. Subsequent analyses reveal a significant improvement in the histological evaluation of the thyroid gland. Similar enhancements in thyroid tissue were also noted in Groups 3 and 4, which were treated with H. sabdariffa extract, known for its antioxidant properties and protective effects akin to those of vitamin C, thereby providing defense to thyroid gland tissues against oxidative stress induced by CPF. The protective effect of Hibiscus extract on the thyroid gland is likely due to its richness in bioactive compounds, which confer strong antioxidant and anti-inflammatory properties. These properties enable it to counteract the oxidative damage induced by CPF as a pro-oxidant agent ( 43 ).

Conclusion

The findings of this study demonstrate that H sabdariffa extract possesses significant antioxidant properties capable of mitigating chlorpyrifos-induced oxidative stress and protecting thyroid function in rats. The traditional preparation method of H. sabdariffa tea effectively yields a solution rich in active compounds, particularly anthocyanins, which contribute to its therapeutic potential. The extract supported the rats' endogenous antioxidant defense system. It preserved normal thyroid hormone levels and histological structure, comparable to the effects observed with vitamin C. Considering the increasing prevalence of environmental oxidative stressors and the well-established safety of H. sabdariffa as a herbal remedy, its inclusion in the daily diet may offer a low-risk, natural strategy for supporting thyroid health and overall physiological balance.

Conflict of interest

The author reported no potential conflict of interest.

Ethical Clearance

This work is approved by The Research Ethical Committee.

References

  1. Ralte, L., Sailo, H., Kumar, N. S., &amp; Singh, Y. T. (2024). Exploring the pharmacological potential of Lepionurus sylvestris blume: from folklore medicinal usage to modern drug development strategies using in vitro and in silico analyses. BMC Complementary Medicine and Therapies, 24 (1), 289 . https://doi.org/10.1186/S12906-024-04567-2.DOI
  2. Apaliya M, Kwaw E, (2021), Nutritional properties and feeding values of Hibiscus sabdariffa and their products‏, Elsevier‏, Academic Press, 10, 137-154.https://doi.org/10.1016/B978-0-12-822100-6.00006-9.DOI
  3. Riaz, G., &amp; Chopra, R. (2018). A review on phytochemistry and therapeutic uses of Hibiscus sabdariffa L. Elsevier, Biomedicine and Pharmacotherapy, 102, 575–586. https://doi.org/10.1016/j.biopha.2018.03.023.DOI
  4. Rasool, U., Ashraf, K., Zain, U. R., Ashraf, N., Mehmood, R., Fatima, K., Atiq, A., Aslam, R., Sheikh, Z. H., Sheikh, Z. A., &amp; Kashmir, A. (2024). Hibiscus sabdariffa Sour Tea against Hypertension‏. Complementary and Alternative Medicine: Chinese/Traditional Medicine. Unique Scientific Publishers, 167-173.https://doi.org/10.47278/book.CAM/2024.269.DOI
  5. Ali S. Hassoon, Ahmed A. Kadhim and Madeha H. Hussein. (2023). A Review in Medical, Pharmacological and Industrial Importance of Roselle Hibiscus sabdariffa L.‏ Medicinal Plants - Chemical, Biochemical, and Pharmacological Approaches. IntechOpen.https://doi.org/10.5772/intechopen.111592.DOI
  6. S. Bharadhi, (2023). Active compound analysis of ethanolic extract of roselle calyces. QASCF, 15, 2.https://doi.org/10.15586/qas.v15i2.1188.DOI
  7. Khan, M. (2017). Nutritional and Health Importance of Hibiscus Sabdariffa: A Review and Indication for Research Needs. Journal of Nutritional Health &amp; Food Engineering, 6(5).https://doi.org/10.15406/jnhfe.2017.06.00212.DOI
  8. Owoade, O., Adetutu, A., Olorunnisola, O. (2016). Antioxidant potential of polyphenol rich extract from Hibiscus sabdariffa‏. Researchgate.Net‏, 16(4), 1–10.https://doi.org/10.9734/BJMMR/2016/26742.DOI
  9. Hoang, N. T. N., Nguyen, N. N. K., Nguyen, L. T. K., Le, A. T. H., &amp; Dong, D. T. A. (2024). Research on optimization of spray drying conditions, characteristics of anthocyanins extracted from Hibiscus sabdariffa L. flower, and application to marshmallows. Food Science &amp; Nutrition, 12(3),2003–2015. https://doi.org/10.1002/FSN3.3898.DOI
  10. Sindi, H., Marshall, L., chemistry, M. M.-F. (2014). Comparative chemical and biochemical analysis of extracts of Hibiscus sabdariffa‏. Elsevier‏, Food Chemistry, 164, 23-29.https://doi.org/10.1016/j.foodchem.2014.04.097.DOI
  11. S. Yagi. (2023). Comparative study on the Chemical Profile, Antioxidant Activity, and Enzyme Inhibition Capacity of Red and White Hibiscus sabdariffa Variety Calyces, ACS Omega 8, 45, 42511–42521.https://doi.org/10.1021/acsomega.3c05217.DOI
  12. M. A. Salem, (2022). A Comparative Study of the Antihypertensive and Cardioprotective Potentials of Hot and Cold Aqueous Extracts of Hibiscus sabdariffa L. in Relation to Their Metabolic Profiles. Front. Pharmacol. 13. 1-5https://doi.org/10.3389/fphar.2022.840478.DOI
  13. S. Sapian, (2023). Therapeutic Potential of Hibiscus sabdariffa Linn. in Attenuating Cardiovascular Risk Factors. Pharmaceuticals, 16, 807https://doi.org/10.3390/ph16060807.DOI
  14. E. Montalvo-González, E., Villagrán, Z., González-Torres, S., Iñiguez-Muñoz, L. E., Isiordia-Espinoza, (2022), Physiological Effects and Human Health Benefits of Hibiscus sabdariffa: A Review of Clinical Trials. In Pharmaceuticals, 15, 464. https://doi.org/10.3390/ph15040464.DOI
  15. Yusni, Y., &amp; Meutia, F. (2020). Action Mechanism of Rosella (Hibiscus sabdariffa L.) Used to Treat Metabolic Syndrome in Elderly Women. Evidence-Based Complementary and Alternative Medicine, 1, 5351318. https://doi.org/10.1155/2020/5351318.DOI
  16. Adam O. Abaker, (2023), Hepatoprotective Effect of Roselle (Hibiscus sabdariffa L.) in N-Diethylnitrosamine Induced Liver Damage in Rats. International Journal Of Medical Science And Clinical Research Studies, 3, 330-336.https://doi.org/10.47191/ijmscrs/v3-i3-10.DOI
  17. Adjia Hamadjida et al. (2023). Antidiabetic potential of Hibiscus sabdariffa extract in alloxan-induced diabetic rats, GSC Biological and Pharmaceutical Sciences. 23, 193–203.https://doi.org/10.30574/gscbps.2023.23.1.0158.DOI
  18. R. El-Shiekh, R. Ashour,… E. A. E.-H.-B, (2020), Hibiscus sabdariffa L.: A potent natural neuroprotective agent for the prevention of streptozotocin-induced &#039; &#039;Alzheimer&#039;s disease in mice Elsevier. Biomedicine &amp; Pharmacotherapy,128, 110303.https://doi.org/10.1016/j.biopha.2020.110303.DOI
  19. O. Orororo, S. A.-J. of E. R‏, (2022), Treatment with Hibiscus sabdarrifa L Anthocyanins Improve Hematological Parameters in Rats Exposed to Cadmium‏, J Explor Res Pharmacol, 7(3):146-150http://dx.doi.org/10.14218/JERP.2022.00003.DOI
  20. Jamrozik, D., Borymska, W., &amp; Kaczmarczyk-Żebrowska, I. (2022). Hibiscus sabdariffa in Diabetes Prevention and Treatment—Does It Work? An Evidence-Based Review. Foods, 11, 2134. https://doi.org/10.3390/foods11142134.DOI
  21. Amos, A., &amp; Khiatah, B. (2022) Mechanisms of Action of Nutritionally Rich Hibiscus &#039; &#039;sabdariffa&#039;s Therapeutic Uses in Major Common Chronic Diseases: A Literature Review. In Journal of the American Nutrition Association 41, 116–124.https://doi.org/10.1080/07315724.2020.1848662.DOI
  22. Hamadjida, A., Mbomo, R. E. A., Minko, S. E., Ntchapda, F., Kilekoung Mingoas, J. P., &amp; Nnanga, N. (2024). Antioxidant and anti-inflammatory effects of Boswellia dalzielii and Hibiscus sabdariffa extracts in alloxan-induced diabetic rats. Metabolism 21, 100278.https://doi.org/10.1016/j.metop.2024.100278.DOI
  23. Lubis, M., Siregar, G. A., Bangun, H., &amp; Ilyas, S. (2020). The effect of roselle flower petals extract (Hibiscus sabdariffa linn.) on reducing inflammation in dextran sodium sulfateinduced colitis. Medicinski Glasnik, 17(2), 1–7.https://doi.org/10.17392/1095-20.DOI
  24. Aasritha, S., Lakshman, M., Soujanya, S., Usharani, M., Architha, M., Ravikumar, Y., &amp; Swathi, B. (2023). Alterations in biochemical parameters, antioxidative enzymes and histopathology of liver induced by imidacloprid (IMI) and Chlorpyrifos (CPF) in male Wistar rats. The Pharma Innovation Journal, 12(1), 2199–2203https://www.doi.org/10.22271/tpi.DOI
  25. H. Falfushynska, I. Khatib, … N. K.-S. of T. T. (2022). Toxic effects and mechanisms of common pesticides (Roundup and chlorpyrifos) and their mixtures in a zebrafish model (Danio rerio‏, Elsevier‏. Science of The Total Environment 833, 10 , 155236.https://doi.org/10.1016/j.scitotenv.2022.155236.DOI
  26. W. Dissanayake, J. Heo, Y. Y.-K. J. of Agricultural, (2023). Adverse effects of pesticide/metabolites on boar spermatozoa. Korean Journal of Agricultural Science, 50(4), 941- 952.https://doi.org/10.7744/kjoas.500428.DOI
  27. A. Abdel-Naim, … E. H.-E. Lycopene attenuates chlorpyrifos-induced hepatotoxicity in rats via activation of Nrf2/HO-1 axis‏, Elsevier‏, Ecotoxicology and Environmental Safety 262, 1, 115122.https://doi.org/10.1016/j.ecoenv.2023.115122.DOI
  28. Jaradat, N., Dwikat, M., Amer, J., Ghanim, M., Hawash, M., Hussein, F., Issa, L., Ishtawe, S., Salah, S., &amp; Nasser, S. (2024). Total phenolic contents, cytotoxic, free radicals, porcine pancreatic α-amylase, and lipase suppressant activities of Artemisia dracunculus plant from Palestine. Frontiers in Pharmacology, 15. https://doi.org/10.3389/fphar.2024.1351743.DOI
  29. Martemucci, G., Costagliola, C., Mariano, M., D&#039;andrea, L., Napolitano, P., &amp; D&#039;Alessandro, A. G. (2022). Free Radical Properties, Source and Targets, Antioxidant Consumption and Health. Oxygen, 2(2), 48–78. https://doi.org/10.3390/oxygen2020006.DOI
  30. Hawash, M., Jaradat, N., Abualhasan, M., Thaher, M., Sawalhi, R., Younes, N., Shanaa, A., Nuseirat, M., &amp; Mousa, A. (2022). In vitro and in vivo assessment of the antioxidant potential of isoxazole derivatives. Scientific Reports, 12(1), 18223.https://doi.org/10.1038/s41598-022-23050-x.DOI
  31. Milošević, M. D., Mašković, P. Z., Stanković, V. D., Paunović, M. G., Mitić, M. N., Matić, M. M., &amp; Ognjanović, B. I. (2022). Protective effects of Viscum album L. leaf extract on chlorpyrifos-induced hepatotoxicity in Wistar rats. Journal of King Saud University - Science, 34(4).https://doi.org/10.1016/j.jksus.2022.101957.DOI
  32. Yagi S, Uba AI, Sinan KI, Piatti D, Sagratini G, Caprioli G, et al. (2023). Comparative study on the Chemical Profile, Antioxidant Activity, and Enzyme Inhibition Capacity of Red and White Hibiscus sabdariffa Variety Calyces. ACS Omega. 8(45), 42511–42521.
  33. Nguyen QV, Chuyen H Van. (2020). Processing of herbal tea from roselle (Hibiscus sabdariffa l.): Effects of drying temperature and brewing conditions on total soluble solid, phenolic content, antioxidant capacity and sensory quality. Beverages. 6(1), 1–11. https://doi.org/10.3390/beverages6010002.DOI
  34. G. Albasher et al.( 2020), Red beetroot extract mitigates chlorpyrifos-induced reprotoxicity associated with oxidative stress, inflammation, and apoptosis in rats, Environmental Science and Pollution Research,27, 3979–3991.https://doi.org/10.1007/s11356-019-07009-6.DOI
  35. Prasomthong J, Limpeanchob N, Daodee S, Chonpathompikunlert P, Sakara Tunsophon. (2022). Hibiscus sabdariffa extract improves hepatic steatosis, partially through IRS-1/Akt and Nrf2 signaling pathways in rats fed a high fat diet. Sci Rep 12, 7022.https://doi.org/10.1038/s41598-022-11027-9.DOI
  36. Wati L, Chiuman L, Nasution AN, Ginting CN. (2021).Antidiabetic Activity of the Rose Petal Methanolic Extract in Alloxan-Diabetic Rats. International Conference on Health, Instrumentation and Measurement, and Natural Sciences, 1-5.https://doi.org/10.1109/INHENCE52833.2021.9537260.DOI
  37. R. Mishra, K. Dutta, and M. K. Bharali, (2023), Interaction of L-ascorbic acid and α-tocopherol in alleviating 1, 4-benzoquinone, a metabolite of benzene induced genotoxicity in male Wistar rats, Egyptian Journal of Basic and Applied Sciences, 10, 290–301.https://doi.org/10.1080/2314808X.2023.2190651.DOI
  38. Miller, A. K., Brosnahan, C. L., Pande, A., Baker, C. F., Geoghegan, J. L., Kitson, J., Gemmell, N. J., &amp; Dowle, E. J. (2023), Formalin-fixed paraffin-embedded (FFPE) samples help to investigate transcriptomic responses in wildlife disease. Molecular Ecology Resources, 25,.https://doi.org/10.1111/1755-0998.13805.DOI
  39. Lamfon, H. (2014). Effect of Selenium on Chlorpyrifos-Induced Thyroid Toxicity in Albino Rats. Research in Endocrinology, 2014, 1–11.https://doi.org/10.5171/2014.751500.DOI
  40. Ibrahim, S. S. Ameliorative Effect of Ascorbic Acid and/or Ginseng Extract against Thyroid Gland Toxicity Induced by Potassium Dichromate in Rats. Journal of Pharmacology &amp; Clinical Research, 5(1). https://doi.org/10.19080/jpcr.2018.05.555655.DOI
  41. Prasomthong, J., Limpeanchob, N., Daodee, S., Chonpathompikunlert, P., &amp; Tunsophon, S. (2022). Hibiscus sabdariffa extract improves hepatic steatosis, partially through IRS-1/Akt and Nrf2 signaling pathways in rats fed a high fat diet. Scientific Reports, 12(1), 7022.https://doi.org/10.1038/s41598-022-11027-9.DOI
  42. El-Kerdasy, H., Elsayed, A., Mousa, H. (2021). Ameliorative Effect of Ginger Extract and Selenium in theThyroid Gland Toxicity Induced by Chlorpyrifos in Male Albino Rats. The Egyptian Journal of Hospital Medicine, 83(1): 824-830https://doi.org/10.21608/ejhm.2021.156452.DOI
  43. Sindhu Bharadhi Swarneswari Arunasalam, (2023), Active compound analysis of ethanolic extract of roselle calyces (Hibiscus sabdariffa L.), quality Assursnce and Safety of Crops &amp; Food, 15 https://doi.org/10.15586/qas.v15i2.1188.DOI