Document Type : Research Paper
Authors
1 Department of Clinical Laboratories, College of Applied & Medical Sciences, University of Kerbala, Kerbala, Iraq
2 Department of Microbiology, faculty of Veterinary Medicine, University of Basrah
3 Microbiology Department, Medical College, Kerbala University, Kerbala, Iraq
Abstract
Helicobacter pylori is a globally distributed bacterium that colonizes the gastric mucosa and is associated with several gastrointestinal diseases in humans, including chronic gastritis, peptic ulcers, and gastric carcinoma. While transmission is primarily human-to-human, the role of animals as potential reservoirs remains under investigation. This study aimed to detect H. pylori in domestic cats and dogs and compare the prevalence and genotypic patterns of the cagA and vacA virulence genes with those found in human clinical samples. The study comprised 261 samples, divided into 161 animal samples (dogs and cats) and 100 human gastric biopsies of patients with gastritis. All samples were analyzed by molecular technique (PCR) to detect H. pylori targeting the ureC gene. In addition to identifying the virulence factors cagA and vacA with their genotypes (vacA m1, m2, s1a, s1b, s1c, and s2). The results indicate H. pylori infection rates of 8.2% in dogs, 4% in cats, and 25% in human samples. Notably, a high prevalence of cagA genes (100%), (80%), and (96%) was detected in cats, dogs, and humans, respectively. The vacA m2/s2 strain exhibited a high prevalence of 75% in both cats and humans, compared to 20% in dogs. These findings demonstrate a high frequency of cagA-positive strains in pets and humans, in addition to the predominance vacA m2/s2 genotype in these host species, with a moderate presence in dogs. All together indicate a potential zoonotic transmission pathway and the possibility that companion animals may serve as a reservoir and source of H. pylori infection.
Keywords
Article Title [العربیة]
الكشف عن انتشار وتحديد النمط الجيني لبكتيريا الملوية البوابية باستخدام جينات cagA وvacA بين الانسان والحيوانات الأليفة (الكلاب والقطط)
Abstract [العربیة]
تنتشر بكترية الملوية البوابية بشكل واسع عالميا، تستوطن الغشاء المخاطي للمعدة، وترتبط بالعديد من أمراض الجهاز الهضمي (لدى الانسان)، بما في ذلك التهاب المعدة المزمن، وقرحة وسرطان المعدة. يعرف انتقال هذه البكتريا بشكل رئيسي من إنسان إلى آخر، بينما لا يزال دور الحيوانات كمستودعات محتملة للعدوى قيد البحث. هدفت الدراسة إلى الكشف عن الملوية البوابية في القطط والكلاب المنزلية، ومقارنة انتشار وأنماط جينات الضراوة cagA وvacA مع تلك الموجودة في العينات السريرية البشرية. شملت الدراسة 261 عينة، مقسمة إلى 161 عينة حيوانية (كلاب وقطط) و100 خزعة معدية بشرية لمرضى التهاب المعدة. حُللت جميع العينات بتقنية الـ PCR للكشف عن الملوية البوابية باستهداف جين ureC. بالإضافة إلى الكشف عن عوامل الضراوة (cagA وvacA) مع تحديد أنماط vacA الجينية (vacA m1، m2، s1a، s1b، s1c وs2). تشير النتائج إلى معدلات إصابة بنسبة 8.2% لدى الكلاب، و4% لدى القطط، و25% لدى البشر. والجدير بالذكر، أنه تم رصد انتشار مرتفع لجينات cagA (100%) و(80%) و(96%) لدى القطط والكلاب والبشر على التوالي. كما أظهرت النتائج انتشارًا مرتفعًا في سلالة vacA m2/s2 بنسبة 75% لدى كل من القطط والبشر، مقارنةً بنسبة 20% لدى الكلاب. ان اكتشاف ارتفاعًا في السلالات الإيجابية لـ cagA لدى الحيوانات الأليفة والبشر، بالإضافة إلى تواتر في النمط الجيني vacA m2/s2 لدى هذه المضائف، مع ضهور معتدل لدى الكلاب، يشير إلى مسار انتقال حيواني محتمل، مع احتمالية أن تكون الحيوانات الأليفة بمثابة مستودع ومصدر لعدوى البكتيريا الحلزونية البوابية
Keywords [العربیة]
- بكترية الملوية البوابية
- ureC
- cagA
- vacA
- الامراض حيواني المنشأ
Introduction
A high percentage of the world's population is known to carry the spiral, flagellated, Gram-negative, microaerophilic bacteria called Helicobacter pylori, which is regarded as a serious public health concern ( 1 ). The prevalence of H. pylori infection ranges from approximately 30%-50% in developed countries and 70%-90% in developing countries ( 2 ). According to a few studies in Iraq, accurate statistics and information on the prevalence of this bacterium are not yet available. Scattered studies in Iraq indicated a prevalence of 11.3 to 71.3% for H. pylori ( 3 ). Geographically, the prevalence varies; the lowest H. pylori prevalences are seen in Oceania (24.4%), Western Europe (34.3%), and North America (37.1%). However, the largest infection rates are seen in Africa (79.1%), South America (69.4%), Latin America and the Caribbean (63.4%), and Asia (54.7%) ( 4 ). Domestic cats could serve as a valuable model for studying H. pylori disease in humans. Additionally, the isolation of H. pylori from domestic cats suggests the possibility that this bacterium may be zoonotic, potentially allowing transmission from cats to humans ( 5 ). In a study carried out in Taipei, Taiwan, the prevalence of Helicobacter species in canines was found to be 75.79% ( 6 ). Other studies have focused on the potential transmission of H. pylori from animals to humans. it is a possible zoonotic gastric bacterium capable of efficient interspecies transmission. Pet companion animals (particularly cats and dogs) serve as natural reservoirs for this microorganism ( 7 ). Close contact between humans and animals seems to enhance the transmission of H. pylori, which is suspected to be transmitted through oral-oral, fecal-oral, or gastric-oral routes, which are evidenced by isolation of H. pylori from saliva and feces ( 8 ). Given the high prevalence of H. pylori found in cats—a pathogen well-known for causing infections in humans—this possibility should be taken seriously ( 9 ). H. pylori is known to have a wide variety of virulence factors for thriving in the environment of the stomach. The expression of oncogenic protein cytotoxin-associated gene (cagA) and vacuolating cytotoxin A (vacA) is essential for H. pylori to exert pathogenesis towards the host ( 10 ). The strong link between H. pylori infection and gastric cancer development has led to numerous studies to clarify the role of virulence factors in the establishment of the disease.
The two most important virulence factors of H. pyloricagA and vacA have been studied extensively to support a role in the development of gastrointestinal disorders ( 11 ). The release of toxins such as cagA and vacA causes harm to the host tissue in human gastritis ( 12 ). Although H. pylori infection is not usually associated with any clinical symptoms, but sometimes leads to inflammation in the gastrointestinal system and results in peptic ulcer and gastric cancer ( 13 ).
The presence or absence of the cagA gene, which encodes the cagA protein, is used to classify H. pylori strains as cagA-positive or cagA-negative ( 14 ).
The presence of cagA is frequently linked to a higher incidence of inflammatory reactions and more damage to the gastric mucosa. The vacA antigen is one of the well-known virulence factors of this agent whose gene, vacA, is present in all strains. The mosaic-like structure of the vacA gene has both conserved and variable allelic sequences. These variable sequences are found in different regions from the N-terminal side, including signal sequence (s1 and s2) region, intermediate (i1 and i2) region, deletion (d1 and d2) region, and mid (m1 and m2) region, respectively. Whilst the cytotoxicity power of all genotypes differs from each other, in addition, two s1 and m1 regions in turn comprise several subtypes, including vacA s1a, s1b, s1c, m1a, m1b, and m1c (15;16;17). The vacA exerts various effects on mammalian cells by affecting functions and the integrity of the plasma membrane and membranes of other organelles ( 18 ). Researchers reported that the vacA gene has a strong link with the emergence of H. pylori infections that cause peptic ulcer disease in the population of Iraq ( 19 ). Therefore, searching for the source of the infection and the possible transfer pathway in the local geographic area is crucial.
Materials and Methods
Sample collection
The current study comprised a total 261 samples, divided into 161 animal samples were collected using sterile methods from two pet species, dogs and cats, in the shelter areas of Kerbala city, and a one hundred human patients with gastritis, who attended the Center of Gastrointestinal Tract at Al Hussain Teaching Hospital in Kerbala city between December 2022 and April 2023 for endoscopically investigation. Pet faecal samples were collected from females (75%) and males (25%), while human gastrointestinal biopsy samples were obtained from 67% and 33% of females and males, respectively.
Molecular method
Genomic DNA was extracted from all the collected samples using the Qiagen (USA) extraction kit. All the extraction steps were done according to the manufacturer's recommendations.
Identification of H. pylori and virulence genes
The presence of H. pylori bacteria in the collected samples was determined by detecting the ureC gene, which is an essential H. pylori gene, using the PCR technique, utilising a species-specific pair of primers. A similar technique was used to detect cagA and vacA genes, in addition to identifying the vacA sub alleles (m1, m2, s2, s1a, s1b, s1c) (Table 1).
| Target gene | Sequences 5′ ⟶ 3′ | Amplicon size (bp) | Reference | |
|---|---|---|---|---|
| ureC | F | GGATAAGCTTTTAGGGGTGTTAGGGG | 296 | (20) |
| R | GCTTACTTTCTAACACTAACGCGC | |||
| cagA | F | GTTGATAACGCTGTCGCTTC | 350 | (21) |
| R | GGGTTGTATGATATTTTCCATAA | |||
| vacA m1 | F | GGTCAAAATGCGGTCATGG | 290 | (22) |
| R | CCATTGGTACCTGTAGAAAC | |||
| vacA m2 | F | GGAGCCCCAGGAAACATTG | 352 | (23) |
| R | CATAACTAGCGCCTTGCAC | |||
| vacA s1a | F | GTCAGCATCACACCGCAAC | 190 | (24) |
| R | CTGCTTGAATGCGCCAAAC | |||
| vacA s1b | F | AGCGCCATACCGCAAGAG | 187 | |
| R | CTGCTTGAATGCGCCAAAC | |||
| vacA s1c | F | CTYGCTTTAGTRGGGYTA | 213 | (25) |
| R | CTGCTTGAATGCGCCAAAC | |||
| vacA s2 | F | ATGGAAATACAACAAACACAC | 286 | (26) |
| R | CTGCTTGAATGCGCCAAAC | |||
Polymerase chain reaction (PCR)
The genes of interest were amplified during this study by using the GoTaq® Green PCR master mix kit. Each PCR reaction was prepared for each gene in a PCR tube as outlined in Table 2. All components were subsequently subjected to vortexing and centrifugation using ExiSpinTM before placement in the PCR thermocycler.
| PCR reaction mixture | Volume |
|---|---|
| DNA sample | 5 µL |
| Forward primer (10 pmol/ µL) | 1 µL |
| Reveres primer (10 pmol/ µL) | 1 µL |
| Nuclease water | 3 µL |
| GoTaq ®Green PCR master mix (2X) | 10 µL |
| Total volume | 20 µL |
PCR conditions for gene amplification
Several PCR programmes were applied to amplify the genes of interest. Regarding their sequences, amplicon size, and primers annealing temperature degrees, different PCR thermocycler conditions and parameters were used in the PCR programmes (Table 3).
| Target gene | Initial Denaturation | Denaturation | Annealing | Extension | Final Extension | Hold | No. of cycles |
|---|---|---|---|---|---|---|---|
| ureC | 94C˚/ 4Min | 94C˚/ 1Min | 55C˚/1 Min. | 72 C˚/ 1 Min. | 72C˚/ 5 Min. | 4 °C | 30 |
| cagA | 94C˚/ 4Min | 94C˚/ 1Min | 54C˚/ 1Min. | 72 C˚/ 30 Sec | 72C˚/5 Min. | 4 °C | 30 |
| vacA m1 | 95C˚/ 4 Min | 95C˚/ 1Min | 52C˚/ 1 Min. | 72 C˚/ 30 Sec | 72C˚/ 5 Min. | 4 °C | 35 |
| vacA m2 | 95C˚/ 5Min | 95C˚/ 30 S. | 53C˚/ 30 Sec | 72 C˚/ 1 Min. | 72C˚/ 5 Min. | 4 °C | 35 |
| vacA s2 | 95C˚/4Min | 95C˚/ 40 S. | 55C˚/ 1 Min. | 72 C˚/ 1 Min. | 72C˚/ 5 Min. | 4 °C | 35 |
| vacA s1a | 95C˚/ 5Min | 95C˚/ 1Min | 53C˚/ 1 Min. | 72 C˚/ 30 Sec | 72C˚/ 5 Min. | 4 °C | 35 |
| vacA s1b | 95C˚/ 5Min | 95C˚/ 1Min | 53C˚/ 1 Min. | 72 C˚/ 30 Sec | 72C˚/ 5 Min. | 4 °C | 35 |
| vacA s1c | 95C˚/ 5Min | 95C˚/ 1Min | 53C˚/ 1 Min. | 72 C˚/ 30 Sec | 72C˚/ 5 Min. | 4 °C | 35 |
DNA visualisation (agarose gel electrophoresis)
The amplified parts of the genes of interest were observed using 1.5% agarose gel electrophoresis in the presence of red safe (amb, Canada). An electrical current (90V) was applied for 45 minutes to allow the amplified DNA to transport from the cathode to the anode pole position. The transported bands were visualised on a UV transilluminator apparatus using a 500nm wavelength. Amplicon sizes were estimated by comparison with the standard size of 1500 bp DNA Ladder (Promega, USA). The resulting bands' brightest were displayed, and pictures were captured.
Statistical Analysis
The ANOVA tests have been utilised to discern statistically significant differences across multiple independent groups with a significant value less than 0.05.
Results
The current study reveals that 4% of cats, 8.2% of dogs, and 25% of human samples contained H. pylori, regarding the presence of the ureC gene, in the total of 261 samples (100 cat faecal, 61 dog faecal, and 100 human tissues endoscopically samples) (Figure 1). Table 4 shows the identification of H. pylori infection among pets and humans through the identification of the ureC gene by the PCR molecular technique.
Figure 1.An agarose gel electrophoresis image shows the partially amplified ureC gene of H. pylori. Lane 10: A DNA Ladder (100 bp, Promega, USA). Lanes 2,3, 8, 9, 11 - 14, and 11 displayed a single band at approximately 296bp, indicating a positive result of the presence of the ureC gene. Lanes 1,4 - 7, 15, 16, and 18 did not show any band, indicating a negative ureC gene result. Lane NC: refers to the negative control.
| ureC | Pet cats | Pet dogs | Human | |||
|---|---|---|---|---|---|---|
| Number | Percentage | Number | Percentage | Number | Percentage | |
| Positive | 4 | 4% | 5 | 8.20% | 25 | 25% |
| Negative | 96 | 96% | 56 | 91.80% | 75 | 75% |
| Total | 100 | 100% | 61 | 100% | 100 | 100% |
Identification of Helicobacter pylori virulence genes and subgenes in the animal and human isolates
All the H. pylori-positive DNA samples were subjected to virulence factor (genes) detection using gene-specific primers in the conventional PCR technique. The current finding demonstrated that the cagA gene was the predominant virulence factor, detected in nearly all H. pylori-positive samples. Specifically, cagA was identified in 100% of cat samples, 80% of dog samples, and 96% of human samples (Figure 2). Furthermore, the vacA gene was detected at a high prevalence, as vacA m2 and vacA s2 alleles were observed in 75% of cat samples. In dog samples, vacA m2 was the most frequently detected subtype (60%), while in human samples, vacA s2 showed the highest prevalence at 72% (Figures 3 and 4; Table 5).
Figure 2.Agarose gel 1.5% electrophoresis image shows the partially amplified cagA. Lane 10: A DNA Ladder (100 bp, Promega, USA). Lanes 1-8, 12-19 show a single band at approximately 350bp, referring to the presence of the cagA gene. Lanes 9 and 11 display no band as a negative cagA gene result. Lane NC: refers to the negative control.
Figure 3. An agarose gel electrophoresis shows the presence of vacA m1 and vacA m2 alleles in the Helicobacter pylori positive samples. A) displays the vacA m1 presence results. Lane 1: A DNA Ladder (100 bp, Promega, USA). Lanes 2, 4, 6, and 7 demonstrate a single band at approximately 290bp as a positive result for vacA m1 allele. Lanes 3, 5, and 8 display no band as a negative vacA m1 result. Lane NC: refers to the negative control. B) displays the vacA m2 presence results. Lane 1: A DNA Ladder (100 bp, Promega, USA). Lanes 5-7, 9, and 10 demonstrate a single band at approximately 352bp as a positive result for vacA m2 allele. Lanes 2-4 and 8 display no band as a negative vacA m1 result. Lane NC: refers to the negative control
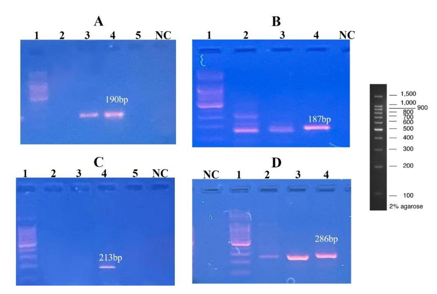
Figure 4.Agarose gel electrophoresis image shows the partially amplified Helicobacter pylori vacA genotypes. In all figure parts (A, B, C, and D), Lane 1: a DNA ladder (100 bp, Promega, USA). NC indicates a negative control. A) Detection of vacA s1a allele. Lanes 3 and 4: display a single band at approximately 190bp as a positive result. Lanes 2 and 5 show no band, representing a negative result. B) Detection of vacA s1b allele. Lanes 2-4 display a single band at approximately 190bp as a positive result. C) Detection of vacA s1c allele. Lane 4: display a single band at approximately 213bp as a positive result. Lanes 2, 3, and 5 show no band, representing a negative result. D) Detection of vacA s2 allele. Lanes 2-4: display a single band at approximately 286bp as a positive result.
| Positive samples | cagA | vacA | |||||
|---|---|---|---|---|---|---|---|
| M1 | M2 | s2 | s1a | s1b | s1c | ||
| Cat | 4 | 1 | 3 | 3 | 1 | 0 | 0 |
| 4 (4.00%) | 100.0% | 25.0% | 75.0% | 75.0% | 25.0% | 0.0% | 0.0% |
| Dog | 4 | 2 | 3 | 2 | 2 | 0 | 1 |
| 5 (8.20%) | 80.0% | 40.0% | 60.0% | 40.0% | 40.0% | 0.0% | 20.0% |
| Human | 24 | 9 | 16 | 18 | 4 | 2 | 1 |
| 25 (25.00%) | 96.0% | 36.0% | 64.0% | 72.0% | 16.0% | 8.0% | 4.0% |
Interestingly, some H. pylori positive DNA samples showed more than two vacA subtypes. However, no more than two were detected (Table 6). The results displayed a higher prevalence of the vacA m2/s2 genotype in H. pylori from cat samples, accounting for 75% of cases. In contrast, dog samples exhibited a more diverse distribution of vacA sub alleles, such as m1/s2, m1/sa1, m2/s2, and m2/s1a.
| Positive samples | vacA | P. value | |||||||
|---|---|---|---|---|---|---|---|---|---|
| M1/s2 | M1/s1a | M1/s1b | M1/s1c | M2/s2 | M2/s1a | M2/s1b | M2/s1c | ||
| Cat | 0 | 1 | 0 | 0 | 3 | 0 | 0 | 0 | 0.667 |
| 4 (4.00%) | 0.0% | 25.0% | 0.0% | 0.0% | 75.0% | 0.0% | 0.0% | 0.0% | |
| Dog | 1 | 1 | 0 | 1 | 1 | 1 | 0 | 0 | |
| 5 (8.20%) | 20.0% | 20.0% | 0.0% | 20.0% | 20.0% | 20.0% | 0.0% | 0.0% | |
| Human | 5 | 3 | 0 | 1 | 13 | 1 | 2 | 0 | |
| 25 (25.00%) | 20.0% | 12.0% | 0.0% | 4.0% | 52.0% | 4.0% | 8.0% | 0.0% | |
Among human samples, the vacA m2/s2 sub alleles were the most common types, which were identified in 52% of cases. However, m2/a1c and m1/s1b were not detected during this study. Overall, the difference in vacA m2/s2 prevalence among the three host species was not statistically significant (p = 0.66).
Discussion
Helicobacter pylori infection represents a significant public health concern due to its established association with the pathogenesis of chronic gastritis, peptic ulcer disease, and gastric malignancies. Although H. pylori is traditionally regarded as a human pathogen, recent studies have indicated that it or closely related organisms can also be isolated from various animals, including primates, sheep, pigs, dogs, and cats. These animals may act as potential reservoirs, and close contact with them could contribute to the widespread prevalence of H. pylori infection in humans ( 27; 7).
It was reported that some H. pylori serotypes are zoonotic gastric microorganisms capable of efficient interspecies transmission. Domesticated companion animals, particularly dogs and cats, serve as natural reservoirs for H. pylori ( 7 ). The current study found that 8.2% of pet dogs and 4% of pet cats tested positive for H. pylori in their stool samples, whereas 25% of human gastritis samples are positive, as shown in Table 4. This difference may be attributed to recent societal shifts towards the use of commercial pet foods, which have become integral to modern lifestyles. This notion is supported by the study of Monno et al. ( 28 ), which suggests that the dietary intake of certain foods and beverages can influence the acquisition of H. pylori. Current results are consistent with the findings of ( 29 ), who detected H. pylori among Helicobacter species in dogs and cats living with human companions, with 6% of the tested samples.
Furthermore, the current results are in line with ( 30 ), who reported a high percentage of H. pylori in human patient samples from Duhok governorate (northern Iraq), at a rate of 40.2%. This might be related to the similarity of people treating their pets in the same country. Other results showed that the domestic cat may be a potential model for H. pylori disease in humans ( 31 ).
The cagA-positive strain appears to be the most prevalent form of H. pylori, as well as sharing this gene across all three hosts, suggesting that the cagA gene is the predominant virulence factor in the H. pylori strains. Which observed in this study with prevalenc e rates of 96%, 100%, and 80% in humans, cats, and dogs, respectively (Table 5) . A range distribution of the cagA gene was reported between 17% to 100% in different geographic regions ( 32; 33) . This phenomenon may indicate the association of the cagA gene with the severity of disease with H. pylori infection and the role of the surrounding environment ( 34; 35) .
The current study results are consistent with a study conducted in Baghdad, which reveals that among 51 H. pylori-positive samples, the vacA m2 allele was detected in 64% of patients, indicating a high prevalence of this allele ( 36 ). A similar finding was also reported by Jouimyi et al. ( 37 ), who analysed H. pylori strains in the Moroccan population at 77%. These studies provide evidence of the prevalence of vacA m2 and s2 alleles among human H. pylori strains. However, data on the prevalence of these alleles in pet animals such as cats and dogs, particularly in Iraq, are limited. Thus, there is a gap in understanding the genetic diversity and potential cross-species transmission of the bacterium.
The current finding shows that animals (dogs and cats) could be infected with H. pylori. So, transmission between animals and from them to humans is a possible approach. Another key finding of this study is the presence of the same vacA allele in all the tested samples, including human and animal. For instance, vacA m2 was detected in humans (64%), dogs (60%), and cats (75%). Furthermore, the results of the current study indicate that the predominant vacA alleles across the examined host species are m2 and s2, suggesting these variants are more commonly circulating within the local population. The presence of vacA in dogs and cats suggests that they could be a potential reservoir host of H. pylori, though at a much lower rate.
The high prevalence of the vacA s2 allele among human H. pylori isolates was reported at 72%. Whereas, in dog samples, the predominant vacA allele was m2 (60%), in comparted to the cat samples, both vacA m2 and s2 alleles were equally common, each accounting for 75%. That might raise the idea that cats play a major role in the H. pylori transfer between dogs and humans, as they are widely distributed and live closer with humans than dogs in our country these days.
Remarkably, the results indicate that the m2/s2 genotype is the common vacA combination genotype among all the studied samples, which was detected at 75%, 52%, and 20% in dogs, humans, and cats. These findings agree with Jouimyi et al. ( 37 ), who reported a similar common combination of vacA gene (in addition to i2/d2) in 52% of human chronic gastritis samples. The current study also agreed with a study conducted by El Khadir et al. ( 38 ), which presents a high prevalence of m2/s2 genotypes, with more than 58% in gastritis patients. In addition to the results of the study conducted in Morocco show the preponderance of vacA m2/s2 among gastritis patients ( 39 ). This might be related to an association between this genotype and gastritis and gastric cancer ( 40 ).
Moreover, according to the findings of ( 41 ), who reported the vacA alleles s1a/m2 and vacA m1a/m2, positive strains were predominant in gastric biopsy samples of dogs, even though they often exhibit mild or no clinical symptoms. These findings together would suggest that dogs may serve as reservoirs for H. pylori ( 29 ). Consistent with our study findings, it can be indicated that companion animals, including dogs and cats, represent a significant source of zoonotic transmission and pose public health risks. Furthermore, additional investigations are warranted to explore the relationship between the presence of the cagA gene and the pathogenicity of H. pylori.
Conclusion
The high prevalence of the H. pylori virulence genes cagA and vacA m2/s2 in both cats and humans, along with a moderate presence in dogs, suggests a potential zoonotic transmission pathway. And suggesting the possibility that companion animals may serve as a reservoir and source of H. pylori infection in humans.
Conflicts of interest
The authors declare that there is no conflict of interest.
Ethical Clearance
This work is approved by The Research Ethical Committee.
References
- References.
- 1-Rodrigues, M. F., Guerra, M. R., Alvarenga, A. V. R. de, Souza, D. Z. de O.,& Cupolilo, S. M. N. (2019). Helicobacter pylori infection and gastric cancer precursor lesions: prevalence and associated factors in a reference laboratory in Southeastern Brazil. Arquivos de Gastroenterologia, 56, 419–424.
- Cano-Contreras, A. D., Rascón, O., Amieva-Balmori, M., Ríos-Gálvez, S., Maza, Y. J., Meixueiro-Daza, A., Roesch-Dietlen, F.,& Remes-Troche, J. M. (2018). Approach, attitudes, and knowledge of general practitioners in relation to Helicobacter pylori is inadequate. There is much room for improvement! Revista de Gastroenterología de México (English Edition), 83(1), 16–24.https://doi.org/10.1016/j.rgmxen.2017.08.005.DOI
- Hussein, R. A., Al-Ouqaili, M. T. S.,& Majeed, Y. H. (2021). Detection of Helicobacter pylori infection by invasive and non-invasive techniques in patients with gastrointestinal diseases from Iraq: A validation study. PLOS ONE, 16(8), e0256393.https://doi.org/10.1371/journal.pone.0256393.DOI
- Hooi, J. K. Y., Lai, W. Y., Ng, W. K., Suen, M. M. Y., Underwood, F. E., Tanyingoh, D., Malfertheiner, P., Graham, D. Y., Wong, V. W. S., Wu, J. C. Y., Chan, F. K. L., Sung, J. J. Y., Kaplan, G. G.,& Ng, S. C. (2017). Global Prevalence of Helicobacter pylori Infection: Systematic Review and Meta-Analysis. Gastroenterology, 153(2), 420–429.https://doi.org/https://doi.org/10.1053/j.gastro.2017.04.022.DOI
- Handt, L. K., Fox, J. G., Dewhirst, F. E., Fraser, G. J., Paster, B. J., Yan, L. L., Rozmiarek, H., Rufo, R.,& Stalis, I. H. (1994). Helicobacter pylori isolated from the domestic cat: public health implications. Infection and Immunity, 62(6), 2367–2374. https://doi.org/10.1128/iai.62.6.2367-2374.1994.DOI
- Ashaolu, J. O., Tsai, Y.-J., Liu, C.-C.,& Ji, D.-D. (2022). Prevalence, diversity and public health implications of Helicobacter species in pet and stray dogs. One Health, 15, 100430.
- Wang, D., Wang, D., Liao, K., Zhang, B., Li, S., Liu, M., Lv, L.,& Xue, F. (2023). Optical detection using CRISPR-Cas12a of Helicobacter pylori for veterinary applications. Microchimica Acta, 190(11), 455. https://doi.org/10.1007/s00604-023-06037-x.DOI
- Duan, M., Li, Y., Liu, J., Zhang, W., Dong, Y., Han, Z., Wan, M., Lin, M., Lin, B., Kong, Q., Ding, Y., Yang, X., Zuo, X.,& Li, Y. (2023). Transmission routes and patterns of helicobacter pylori. Helicobacter, 28(1). https://doi.org/10.1111/hel.12945.DOI
- Karem K.K., Al-Hejjaj M.Y., Alattabi A.S. (2024). Urease gene detection of Helicobacter pylori in gastritis patients and evaluation of Interleukins 33 and 17 in Kerbala Province. Ro J Infect Dis. 27(4):283-9. doi:10.37897/RJID.2024.4.2.DOI
- Sukri, A., Hanafiah, A., Mohamad Zin, N.,& Kosai, N. R. (2020). Epidemiology and role of Helicobacter pylori virulence factors in gastric cancer carcinogenesis. APMIS, 128(2), 150–161. https://doi.org/10.1111/apm.13034.DOI
- Nejati, S., Karkhah, A., Darvish, H., Validi, M., Ebrahimpour, S.,& Nouri, H. R. (2018). Influence of Helicobacter pylori virulence factors cagA and VacA on pathogenesis of gastrointestinal disorders. Microbial Pathogenesis, 117, 43–48.https://doi.org/10.1016/j.micpath.2018.02.016.DOI
- Kato, M. (2016). Endoscopic Findings of H. pylori Infection. In Helicobacter pylori (pp. 157–167). Springer Japan. https://doi.org/10.1007/978-4-431-55705-0_10.DOI
- Zhang, X.Y., Zhang, P.Y.,& Aboul-Soud, M. A. M. (2017). From inflammation to gastric cancer: Role of Helicobacter pylori. Oncology Letters, 13(2), 543–548.https://doi.org/10.3892/ol.2016.5506.DOI
- Takahashi-Kanemitsu, A., Knight, C. T.,& Hatakeyama, M. (2020). Molecular anatomy and pathogenic actions of Helicobacter pylori cagA that underpin gastric carcinogenesis. Cellular& Molecular Immunology, 17(1), 50–63.
- Hosseini, E., Poursina, F., Van de Wiele, T., Safaei, H. G.,& Adibi, P. (2012). Helicobacter pylori in Iran: A systematic review on the association of genotypes and gastroduodenal diseases. Journal of Research in Medical Sciences: The Official Journal of Isfahan University of Medical Sciences, 17(3), 280.
- Keikha, M., Ali-Hassanzadeh, M.,& Karbalaei, M. (2020). Association of Helicobacter pylori vacA genotypes and peptic ulcer in Iranian population: a systematic review and meta-analysis. BMC Gastroenterology, 20(1), 266. https://doi.org/10.1186/s12876-020-01406-9.DOI
- Safaralizadeh, R., Dastmalchi, N., Hosseinpourfeizi, M.,& Latifi-Navid, S. (2017). Helicobacter pylori virulence factors in relation to gastrointestinal diseases in Iran. Microbial Pathogenesis, 105, 211–217.
- Cover, T. L.,& Blanke, S. R. (2005). Helicobacter pylori VacA, a paradigm for toxin multifunctionality.Nature Reviews Microbiology, 3(4), 320–332.
- Al-Ouqaili, M. T. S., Hussein, R. A., Majeed, Y. H.,& Al-Marzooq, F. (2023). Study of vacuolating cytotoxin A (vacA) genotypes of ulcerogenic and non-ulcerogenic strains of Helicobacter pylori and its association with gastric disease. Saudi Journal of Biological Sciences, 30(12), 103867. https://doi.org/10.1016/j.sjbs.2023.103867.DOI
- Labigne, A., Cussac, V.,& Courcoux, P. (1991). Shuttle cloning and nucleotide sequences of Helicobacter pylori genes responsible for urease activity. Journal of Bacteriology, 173(6), 1920–1931. https://doi.org/10.1128/jb.173.6.1920-1931.1991.DOI
- Kishk, R. M., Soliman, N. M., Anani, M. M., Nemr, N., Salem, A., Attia, F., Allithy, A. N. A.,& Fouad, M. (2021). Genotyping of Helicobacter pylori Virulence Genes cagA and vacA: Regional and National Study. International Journal of Microbiology, 2021, 1–7.https://doi.org/10.1155/2021/5540560.DOI
- Idowu, A., Mzukwa, A., Harrison, U., Palamides, P., Haas, R., Mbao, M., Mamdoo, R., Bolon, J., Jolaiya, T., Smith, S., Ally, R., Clarke, A.,& Njom, H. (2019). Detection of Helicobacter pylori and its virulence genes (cagA, dupA, and vacA) among patients with gastroduodenal diseases in Chris Hani Baragwanath Academic Hospital, South Africa. BMC Gastroenterology, 19(1), 73.https://doi.org/10.1186/s12876-019-0986-0.DOI
- Taillieu, E., Chiers, K., Amorim, I., Gärtner, F., Maes, D., Van Steenkiste, C.,& Haesebrouck, F. (2022). Gastric Helicobacter species associated with dogs, cats and pigs: significance for public and animal health. Veterinary Research, 53(1), 42. https://doi.org/10.1186/s13567-022-01059-4.DOI
- Akeel, M., Shehata, A., Elhafey, A., Elmakki, E., Aboshouk, T., Ageely, H.,& Mahfouz, M. (2019). Helicobacter pylori vacA, cagA and iceA genotypes in dyspeptic patients from southwestern region, Saudi Arabia: distribution and association with clinical outcomes and histopathological changes. BMC Gastroenterology, 19(1), 16. https://doi.org/10.1186/s12876-019-0934-z.DOI
- Yakoob, J., Abid, S., Abbas, Z., Jafri, W., Ahmad, Z., Ahmed, R.,& Islam, M. (2009). Distribution of Helicobacter pylorivirulence markers in patients with gastroduodenal diseases in Pakistan. BMC Gastroenterology, 9(1), 87. https://doi.org/10.1186/1471-230X-9-87.DOI
- Khater, E.,& AlFaki, A. (2022). Detection of vacA, cagA and iceA genes of H. pylori in dyspeptic patients and their association with clinical data and histopathological abnormalities. Egyptian Journal of Medical Microbiology, 31(3), 99–107.https://doi.org/10.21608/ejmm.2022.251053.DOI
- Lima, V. P., Silva-Fernandes, I. J. de L., Alves, M. K. S.,& Rabenhorst, S. H. B. (2011). Prevalence of Helicobacter pylori genotypes (vacA, cagA, cagE and virB11) in gastric cancer in Brazilian's patients: An association with histopathological parameters. Cancer Epidemiology, 35(5), e32–e37. https://doi.org/10.1016/j.canep.2011.02.017.DOI
- Elyasi, B., Rezaie, A., Moori Bakhtiari, N.,& Mosallanejad, B. (2020). Helicobacter genus in the intestine and liver of stray cats: the molecular, histopathological, and immunohistochemical study. Brazilian Journal of Microbiology, 51(4), 2123–2132. https://doi.org/10.1007/s42770-020-00359-1.DOI
- Monno, R., De Laurentiis, V., Trerotoli, P., Roselli, A. M., Ierardi, E.,& Portincasa, P. (2019). Helicobacter pylori infection: association with dietary habits and socioeconomic conditions. Clinics and Research in Hepatology and Gastroenterology, 43(5), 603–607.
- Moussa, I. M., Eljakee, J., Beder, M., Abdelaziz, K., Mubarak, A. S., Dawoud, T. M., Hemeg, H. A., Alsubki, R. A., Kabli, S. A.,& Marouf, S. (2021). Zoonotic risk and public health hazards of companion animals in the transmission of Helicobacter species. Journal of King Saud University - Science, 33(6), 101494. https://doi.org/10.1016/j.jksus.2021.101494.DOI
- Naqid, I. A., Al-Brefkani, A.,& Hussein, N. R. (2024). A study of prevalence and risk factors for Helicobacter pylori infection among adults in Duhok Province, Kurdistan Region, Iraq. Archives of Razi Institute, 79(2), 272–278. https://doi.org/10.32592/ARI.2024.79.2.272.DOI
- Amer, F. A. (2013). Helicobacter pylori genotypes among patients in a university hospital in Egypt: identifying the determinants of disease severity. Journal of Microbiology and Infectious Diseases, 03(03), 109–115. https://doi.org/10.5799/ahinjs.02.2013.03.0092.DOI
- Hussein, N. R. (2010). Helicobacter pylori and gastric cancer in the Middle East: a new enigma? World Journal of Gastroenterology, 16(26), 3226–3234.https://doi.org/10.3748/wjg.v16.i26.3226.DOI
- Oliveira, A. K. S., Silva, L. L. de L., Miguel, M. P., Blanco, A. J. V., Carneiro, L. C.,& Barbosa, M. S. (2021). Helicobacter pylori cagA virulence gene and severe esogastroduodenal diseases: is there an association? Arquivos de Gastroenterologia, 58(4), 468–475.https://doi.org/10.1590/s0004-2803.202100000-85.DOI
- Umit, H., Tezel, A., Bukavaz, S., Unsal, G., Otkun, M., Soylu, A. R., Tucer, D., Otkun, M.,& Bilgi, S. (2009). The Relationship Between Virulence Factors of Helicobacter pylori and Severity of Gastritis in Infected Patients. Digestive Diseases and Sciences, 54(1), 103–110.https://doi.org/10.1007/s10620-008-0316-9.DOI
- Ali, H. S., Dhahi, M. A. R.,& Al-Maliki, J. M. (2017). Genotyping of vacA of Helicobacter pylori in patients from Baghdad with gastro-duodenal diseases. J Gastroenterol Dig Dis. 2017; 2 (2): 25-31. J Gastroenterol Dig Dis 2017 Volume 2 Issue, 2.
- Jouimyi, M. R., Bounder, G., Essaidi, I., Boura, H., Badre, W., Benomar, H., Zerouali, K., Lebrazi, H., Kettani, A.,& Maachi, F. (2021). Association of Helicobacter pylori vacA polymorphisms with the risk of gastric precancerous lesions in a Moroccan population. Journal of infection in developing countries, 15(8), 1124–1132. https://doi.org/10.3855/jidc.14435.DOI
- El Khadir, M., Alaoui Boukhris, S., Benajah, D.-A., El Rhazi, K., Ibrahimi, S. A., El Abkari, M., Harmouch, T., Nejjari, C., Mahmoud, M., Benlemlih, M.,& Bennani, B. (2017). VacA and cagA Status as Biomarker of Two Opposite End Outcomes of Helicobacter pylori Infection (Gastric Cancer and Duodenal Ulcer) in a Moroccan Population. PLOS ONE, 12(1), e0170616.https://doi.org/10.1371/journal.pone.0170616.DOI
- Boukhris, S. A., Benajah, D. -a., Rhazi, K., Ibrahimi, S. A., Nejjari, C., Amarti, A., Mahmoud, M., Abkari, M., Souleimani, A.,& Bennani, B. (2012). Prevalence and distribution of Helicobacter pylori cagA and vacA genotypes in the Moroccan population with gastric disease. European Journal of Clinical Microbiology& Infectious Diseases, 31(8), 1775–1781.https://doi.org/10.1007/s10096-011-1501-x.DOI
- Bakhti, S. Z., Latifi-Navid, S.,& Zahri, S. (2020). Unique constellations of five polymorphic sites of Helicobacter pylori vacA and cagA status associated with risk of gastric cancer. Infection, genetics and evolution: journal of molecular epidemiology and evolutionary genetics in infectious diseases, 79, 104167. https://doi.org/10.1016/j.meegid.2019.104167.DOI
- Torkan, S.,& Shahreza, M. H. S. (2016). VacA, cagA, IceA and OipA Genotype Status of Helicobacter pylori Isolated from Biopsy Samples from Iranian Dogs. Tropical Journal of Pharmaceutical Research, 15(2), 377. https://doi.org/10.4314/tjpr.v15i2.22.DOI